Gwynie and Siri's 2023 Litters

Since Gwynie and Siri are having their litters only a few days apart, I am combining their puppy diaries.

Pregnancy

23 Jun
Gwynie ("Shaksper Gwyneth De Lesseps") came into season. I had been expecting Gywnie to come into season about now. If Gwynie gets pregnant, this will be Gwynie's first litter.

27 Jun
Siri ("Shaksper Serena Mckellen") came into season. There is no good way to accurately predict when a female dog will come into season. Mostly it is a matter of looking at their history of seasons and then guessing. In the past I have been off in my predictions by as much as two months. I had been expecting Siri to come into season sometime around now ... but I had not expected that it would be four days after Gwynie! In the past the closest I have had two litters has been three weeks. As I really want to breed both Gwynie and Siri on this cycle, I made the decision to go ahead and breed both. If Siri gets pregnant, this will be her third and last litter.

3, 5 Jul
Gwynie was bred twice by side-by-side artificial insemination to Ozzie ("Camio's Wiz Kid At Beachpine") owned by Ursula Walsh. I missed being present at both breedings, first because of a judging assignment, and the second time because I was taking Siri to be bred.

5-10 Jul
Because I was in a time-crunch because of several competing obligations, I could not drive Siri to Maryland to be bred as I normally would. Instead I flew Siri up, dropped her off, and then flew back home on the same day. Here is Siri at the airport before our flight.

Siri was bred several times by side-by-side artificial insemination to Justin ("Foxwood's Just Having A Blast At Coventry") owned by Dale Martins. Justin was the sire of a litter I had in 2021 (but with a different girl). After Siri was finished breeding, I drove up to Maryland and got her.

8 Aug
Today was ultrasound day to see if either Gwynie or Siri are pregnant. We drove to North Carolina State University for an ultrasound appointment with the theriogenology (reproduction) department at the NCSU veterinary school.

First on the table for an ultrasound was Siri. I have become familiar with reading an ultrasound. As soon as I saw a dark blob with something inside it, I knew that Siri was pregnant. The vet reported that he saw two possibly three puppies, plus one reabsorption site. Counting the number of puppies by ultrasound is notoriously unreliable. So all I really took away was that Siri is pregnant. Unless it is really late in a pregnancy, dogs reabsorb a fetus rather than abort it. There can be many reasons for a reabsorption; the most likely being that the fetus would not be viable.

Next Gwynie had her turn on the table. Again there was a dark blob with something inside it, meaning that Gwynie is pregnant. The vet thinks that Gwynie is carrying three, maybe four puppies. When Gwynie and Siri get close to their due date, we will have an x-ray taken which will give a more accurate count of the number of puppies (plus other information).

Gwynie's estimated due date is somewhere around 2-4 September, while Siri's estimated due date is around 6-7 September.

24 Aug
Both Gwynie and Siri have passed the "T minus two weeks" mark until they whelp. As they each passed this mark, I changed their kibble from regular to puppy kibble. Also I slowly start feeding an extra helping at bedtime, starting with just a few pieces of kibble and working up until by "T minus one week" they will be getting 25 to 30 percent more than they would normally eat.

Also at the "T minus two weeks mark", over the next three days I worm my expectant mothers with fenbendazole.

1 Sep
Having two litters at almost the same time means that I need two whelping (really nursery) boxes. I had ordered a second whelping nest and whelping box and they are waiting to be set up. A whelping nest is a bowl that is electrically heated to keep puppies warm. But a whelping nest requires a base. So today I put my limited carpentry skills to work and built a second base. After which I set up Gwynie's whelping box in my bedroom using my first base, whelping nest, and whelping box.

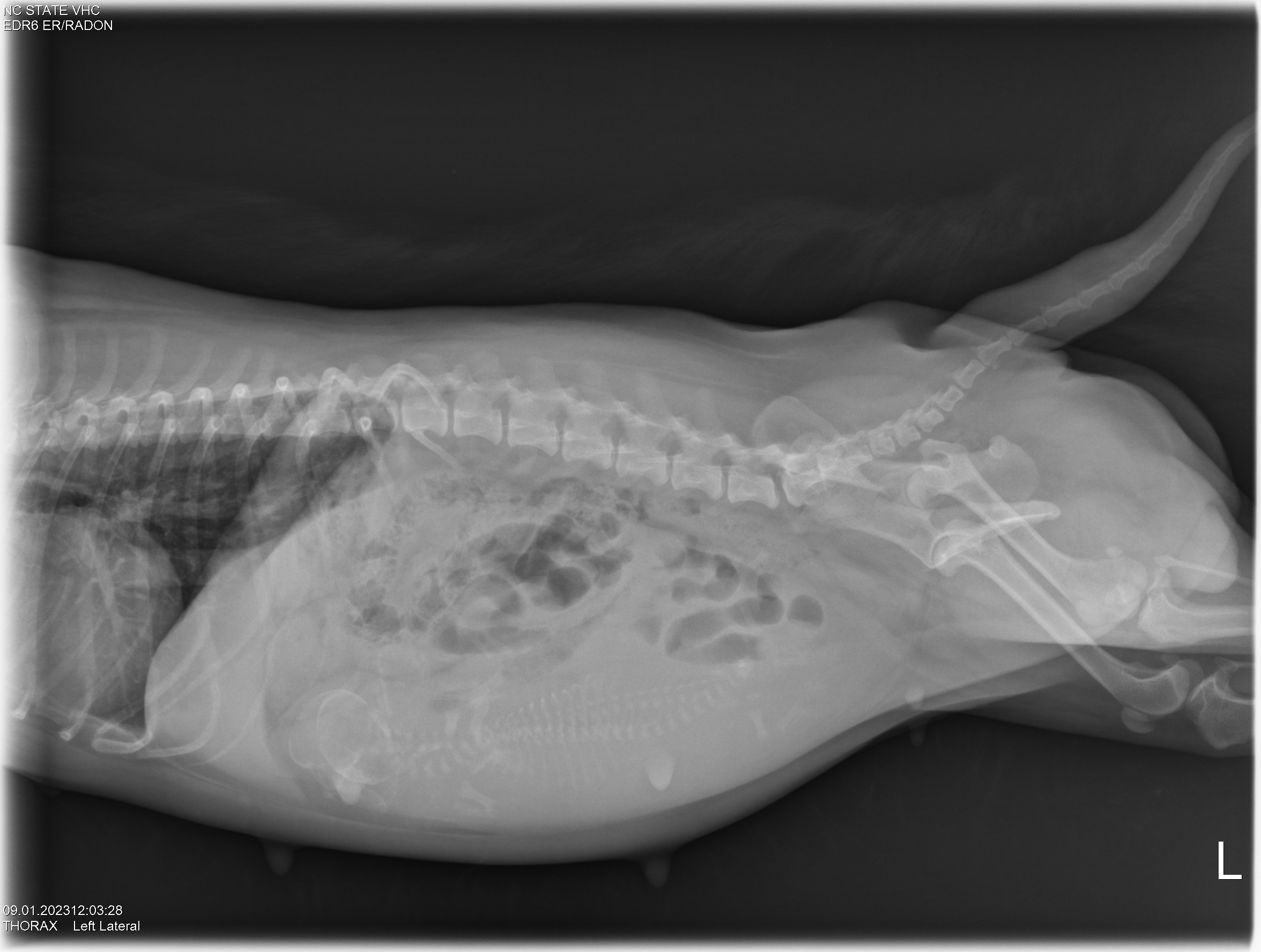
1 Sep
Today was x-ray day! I took both Gwynie and Siri to NC State University for abdominal x-rays. Here they are: (If you look closely, you can see the spines and perhaps the skulls of the puppies.)

Looking at the x-rays, my repro vets told me that Gwynie is carrying three puppies, and Siri is carrying two. Comparing the size of the pelvic opening of each girl with the size of the puppy skulls they are carrying, I was told for both Gwynie and Siri that the sizes are close. I was advised to have a cesarean section (c-section) for both girls. So that is what we will do.

Since Gwynie's due date is this weekend, the vets started "staging" Gwynie for a c-section. The vets checked out Gwynie's puppies using ultrasound and all looks good - good heartbeats and good GI motility. They took some blood from Gwynie and did a progesterone test. Towards the end of pregnancy, progesterone falls. Using the ultrasound results and progesterone number lets the vets decide when to do a c-section. Gwynie and I will now come back to NC State (a two-hour ride one-way) each morning for progesterone testing and ultrasound until the vets say "today is the day" for the c-section.

Week 1

2 Sep
This morning I loaded everyone in the car and off we went to NC State for Gwynie's progesterone test. I took everyone in case today was "the day" for Gwynie. As it turned out, the progesterone said it was the proper time for Gwynie's c-section. After a wait while the surgery department took care of an emergency case, Dr. Lyle took Gwynie off for her c-section around 11 am. I then took everyone (except Siri) to my petsitter where they will stay for a while. (I like to let my mothers have a few days of peace settling in with their puppies before the pack returns.) After a quick lunch, Siri and I headed back to NC State to wait.

Around 3 pm - after I had sufficient time to build up a good amount of worry - I got the call that everything was fine and that I could come pick up Gwynie and the puppies. My first view of the puppies - two boys and one girl. The red tinge is from a heat lamp. Gwynie was fine - alert but not very active (understandable after surgery). I loaded Gwynie, Siri, and puppies into my car and we drove home. The puppies rode in a box with a hot water bottle to keep them warm.

I had turned the whelping nest on before I left home this morning. So the whelping nest was warm for the puppies when I put the puppies into the whelping box. The puppies quickly figured out an arrangement to keep even warmer.

After getting everyone settled and feeding Siri and Gwynie dinner, my next job was to put collars on the puppies in order to tell them apart at a glance. I use colored yarn for collars. I also needed to weigh the puppies. Here are the puppies:

The next order of business was to get the puppies nursing. Gwynie was not sure about these strange creatures that had suddently appeared. I gently lifted Gwynie's side and slide the puppies against Gwynie and towards nipples. I was happy to see that Gwynie did not resist nor did Gwynie reject the puppies. (I sometimes have ended up in wrestling matches with new mothers after a c-section when I try to get the puppies to initially nurse.) I was also happy to see that all three puppies quickly found a nipple and started sucking, and then sorted themselves out. After nursing for a bit, the puppies lost their initial wrinkly look.

Gwynie ignored the puppies for a sufficient amount time to worry me, but the puppies were busy nursing and no one was crying. Gwynie has now started to vigorously lick the puppies, indicating that she is bonding with them.

3 Sep
During the night at the slightest sound from the whelping box, I was turning on the light and checking on Gwynie and the puppies. And White likes to make a lot of sound! White finally settled down around midnight, but then again during the morning was making crying sounds. I am not exactly sure why. Possibly Gwynie's milk had not let down and White was hungry. Or White had colic. Or White is just naturally a fussy puppy. I kept moving White trying to put him in a position where he could get to a nipple. White would be quiet for a bit, but then start up again. I was short on sleep when morning came, and ended up taking a nap this afternoon.

Morning picture. All during the night Gwynie and the puppies were in the upper right of the whelping box, and only this morning moved to the uppper left. The stains you see in the upper right are from Gwynie. Gwynie will have vaginal discharges for the next several weeks as a consequence of her c-section. This is normal.

In the morning I checked the puppies over and weighed them. All the sutures for their umbilical cords are healing nicely. Blue and White gained a few grams. Pink lost a few grams. It is not abnormal for a puppy to lose a little weight in the first 24 hours after birth. I also weighed Gwynie and took Gwynie's temperature, which was normal. I will be taking Gwynie's temperature for the next several days to make sure that Gwynie does not have any infection from her c-section.

I put the puppies up on the cover of my bed while I quickly changed the bedding in the whelping box. Here is everyone back in the now clean whelping box. Notice that Gwynie is panting. Gwynie has been - and will be doing - a lot of panting. Panting is how Gwynie gets rid of the heat generated from her making milk. Between licking the puppies and panting, I do not think Gwynie got much sleep last night either, and I only saw Gwynie finally lie down this morning.

Siri naturally is curious about what is in the whelping box. When Siri gets too close to the whelping box, Gwynie growls. Between Gwynie growling and me shooing Siri away, Siri has become respectful of Gwynie's space and now rarely goes near Gwynie's whelping box. Siri will soon be getting her own whelping box.

What I like to see - quiet and sleeping puppies.

Around four this afternoon, Gwynie came out of the whelping box and went outside to pee and poop. Other than when I took Gwynie out of the whelping box to weigh her and take her temperature, this was the first time Gwynie had left the puppies since we got home yesterday. I have been acting as Gwynie's butler, bringing Gwynie food and water to eat and drink in the whelping box.

This evening when I again weighed the puppies, I found that both Blue and White had continued to gain some weight, but Pink had continued to lose weight. Now every chance I get I will be putting Pink near a nipple to encourage Pink to nurse.

After being in the upper left of the whelping box all day, this evening Gwynie - and consequently the puppies - have shifted back to the upper right.

4 Sep
Morning picture. I did not get a chance to finish grooming Gwynie before she was bred. Consequently Gwynie looks like a shaggy dog. At the morning weigh-in, all the puppies showed overnight weight gains. Pink is almost back to her birth weight.

Pink's overnight weight gain made me feel better about leaving Gwynie and her puppies this morning. I had to take Siri to NC State for Siri's first c-section "staging" appointment - a blood draw to check Siri's progesterone level and an ultrasound to check the puppies. The puppies do not yet have good GI motility. Siri and I waited for the progesterone results. Not today was the verdict. We will come back tomorrow morning (and every morning) until the decision is made to do Siri's c-section.

When Siri and I got home, Gwynie came out of her whelping box to greet us, leaving her puppies in the heated whelping nest. White is using sister Pink as a pillow. White has also gotten his collar dirty.

What I like to see - puppies nursing. Notice Pink on the far left pushing with her arm against Gwynie's belly to help the milk come down into the nipple.

I spent part of the afternoon assembling Siri's whelping box. I had to move a dresser out of my bedroom in order to fit Siri's whelping box into my bedroom along with Gwynie's whelping box.

Gwynie is obviously putting the puppies on a nursing schedule (known only to her) and is leaving the puppies for short periods of time. When I took this picture, Gwynie was on the opposite side of the whelping box. Blue crawled off and I was able to get a photo of Pink using brother White as a pillow.

The puppies are starting to use the heated whelping nest, rather than just sleeping underneath mommy Gwynie. Here are Blue and White in the nest, Pink is tucked up underneath Gwynie.

At the evening weigh-in, all the puppies continued their weight gain. During the past twenty-four hours I have been ruthless about pulling both boys off nipples and shoving Pink in to get her chance to nurse. Pink is now above her birth weight.

5 Sep
Last night Gwynie wanted to sleep in my bed in her usual spot. But every time Gwynie got settled next to me White would make a noise, so Gwynie would get up and go back to the whelping box. White is clearly the vocal one of the group.

Morning picture. The puppies were temporarily on my bed while I changed the bedding in the whelping box. White (with his new collar) and Pink are underneath Gwynie; Blue is showing off his handsome dark looks against my red blanket.

Aunt Siri in the whelping box licking Gwynie's puppies. I quickly shooed Siri out of the whelping box as Gwynie - who was on my bed - was becoming concerned.

At this morning's weigh-in, Blue became the first to join the 200-gram club. But Pink lost weight and was again back to her birth weight. I did not want to leave Pink like this while I took Siri to NC State. I reluctantly tube-fed Pink 2 ml of Esbilic, a commercial canine milk substitute. Tube-feeding is just like it sounds. It is force-feeding where you put a tube down the dog's throat and into the stomach, then inject liquid food through the tube. Tube-feeding is not without risks. A dog can aspirate some of the liquid which can cause illness, or even drown if you have the tube in the lungs rather than the stomach.

At NC State, Siri was again examined, had an ultrasound - both puppies heartbeats were good - and gave blood for a progesternone test. But again the verdict was "not today" for Siri's c-section.

When Siri and I got home, I first had to feed Siri and Gwynie lunch. I had deliberately not fed Siri breakfast in case surgery (her c-section) was today ... and Siri and the puppies she is carrying were HUNGRY! (Note the remnants of cottage cheese in the bowl in the whelping box. It is important that nursing mothers get extra calcium in their diet that they can use to make milk.)

By the time I was ready to tube-feed Pink again, I found Pink nursing. As mother's milk is superior to any of the commercial stuff, I skipped the tube-feeding. All this afternoon I have again been agressive about making sure Pink had a chance to nurse. My efforts were rewarded in that Pink's weight was nicely up at this evening's weighing.

Gwynie's puppies sleeping together.

White sleeping on his side. I like to see a puppy sleep on their side. If a puppy sleeps too much on their chest, the rib bones can grow into the wrong shape (flattened rather than round), which can later make it hard for a puppy to learn to walk.

It is interesting watching the puppies crawl. The puppies look like little seals dragging their bodies over the ice. The puppies are already efficient at moving themselves around the whelping box in search of mommy.

6 Sep
Morning picture. Pink and White are tucked up underneath Gwynie. Pink had a small weight increase overnight. Small, but at least it was in the right direction.

Siri and I again traveled to NC State for an ultrasound and progesterone blood test for Siri. The ultrasound showed that Siri's puppies have nice strong heartbeats (above 200 beats per minutes; below that the vets start to worry that puppies are "stressed"). But the progesterone result said that Siri's puppies are not sufficiently "ripe" ... so again, today is not the day for Siri's c-section. We will come back tomorrow.

The puppies crawl around and find the most interesting sleeping positions. This is the triangle position.

Blue is the first to try sleeping on his back. And later I found Blue sleeping on his side.

White and Blue - the two brothers - sleeping side by side.

Pink had a respectable weight gain today. I did not get a good picture of Pink today. Pink was either underneath mommy Gwynie ... and I did not want to disturb Pink in case she was nursing. Or I was shoving Pink into the nursing space out of which I had just pulled either Blue or White.

7 Sep
Morning picture. Pink had a small but respectable weight gain last night. We were all up early as Siri and I had to be at NC State at 8 am. Again Siri did not get any breakfast in case today was the day of her c-section surgery. By now Siri knew the routine when we got to NC State - a quick physical exam, an ultrasound to check on the puppies (heartbeats were good), and a blood draw for a progesterone test. Then we waited for the progesterone result ... and learned that Siri's progesterone had dropped sufficiently that today was the day!

Unfortunately the surgery and anesthesia departments were busy, and we were asked to come back around 12:30 pm. Siri and I spent the rest of the morning visiting with nearby friends. While visiting, I noticed that Siri had gone into stage one labor. Siri was "nesting" - periods of furious "digging" plus trying to wedge herself into the safest places she could find (mostly underneath furniture).

Siri and I returned to NC State at the appointed time and I turned Siri over to be prepped for surgery - Siri's belly was shaved and an intravenous (IV) catheter inserted in a front arm. The catheter allows quick administration of drugs, in particular anesthesia drugs. I was told that it might be a while before Siri went into surgery. I want off and had lunch, spent some time in a bookstore, and returned to NC State around 3 pm ... only to be told that Siri had not yet gone into the operating room, but that the puppies were ok and not distressed. (The repro team was monitoring the puppies by periodic ultrasound exams of Siri.) So I camped out in the waiting room. I had a lot of reading material with me. But in addition to the worry about Siri and her puppies - even though I knew they were in good hands - I was now also worrying about Gwynie and her puppies. I had not expected to be leaving them alone for this length of time.

Around 7 pm, I got my first look at Siri's puppies, two healthy boys. The boy on the left is a "black and tan" - coal black except for some tan tips on the face and feet (as the puppy grows the tan will spread); the other boy is a "red". Siri was still a bit groggy from the anesthesia. We loaded up and did the two-hour drive home; the boys whimpering for almost the entire car ride. The boys were in a box with a hot water bottle, but they probably wished to be back inside Siri.

Gwynie greeted me when I got home. I needn't have worried, Gwynie had taken good care of her puppies. (Note Blue yawning and stretching.) When I later weighed Gwynie's puppies, everyone - including Pink - had very nice weight gains. Gwynie was more happy to see me than in eating dinner ... which given how much Norwich like food, says a lot!

I first brought Siri's puppies inside from the car and put them in Siri's whelping box. Gwynie jumped into Siri's whelping box and started licking the whimpering puppies. I shooed Gwynie out, and brought Siri inside and put her in with her puppies. Siri immediately started licking her puppies. Siri's puppies also seemed to know what to do; they scrambled for Siri's nipples and started sucking. I let the boys nurse for a bit before weighing them. Then I also crashed into bed for the night.

8 Sep
All the puppies were quiet during the night. Or perhaps I was too tired to hear anything. I did get up a few times to check on Siri and her puppies. Siri did a lot of panting last night (and during today) in order to make milk.

Morning picture 1. Note White stretching. White joined the 200-gram club this morning. Morning picture 2. Siri said that it is not nice to take a picture of a woman in the morning before she has a chance to brush her hair.

Pink with a paw on brother Blue.

It is time for introductions to Siri's puppies:

Both Black and Red gained a few grams overnight. You will notice that the starting weights of Siri's puppies are much higher than the starting weights of Gwynie's puppies. While there was still a chance for a free whelp, I did not want to overfeed Gwynie and Siri ... with the intention of fattening up the puppies after they were born. Once I was told that Gwynie and Siri were going to have c-sections, I wanted the puppies to get as large as possible before being born. Siri's puppies have had five full days of extra calories with which to grow before coming into the world. Right now the order of the puppies in the "weight race" is first Blue, then Black, followed by White, Red and finally Pink.

Today was a quiet day with both Gwynie and Siri's puppies hardly making a sound. I noticed that Gwynie seems to have her puppies eating in shifts - first Pink and White, later I found Blue nursing. Perhaps my attempts to "help" Pink by encouraging her to nurse are messing up Gwynie's scheduling plans. For now, I will take a hands-off approach ... as long as Pink keeps gaining weight.

Black with his head on mommy Siri's paw. And a picture of Pink. Notice Pink's clear-colored nails. (Actually they are "claws". Nails are flat while claws are round, but we traditionally call a dog's claws "nails".) All the puppies have clear nails which will darken over the next week or so and turn black.

All the puppies had nice weight gains this evening. Pink joined the 200-gram club, passed Red in the weight race, and has even caught up to White. (Although I suspect this may be just temporary, as large weight gains are often followed by a lull.) I was most happy to see that Black and Red had gained some weight, indicating that they had been nursing. It is important that puppies nurse in the first 12 to 24 hours of life. During this short window of opportunity, a puppy's intestines will allow large molecules - such as maternal antibodies - to pass into a puppy's bloodstream. These maternal antibodies will protect a puppy for several weeks. Getting these antibodies is so important that NC State tube-feeds puppies born by c-section serum from a donor dog right after the puppies are born. Both Gwynie and Siri's puppies were given serum at NC State.

Week 2

9 Sep
Morning picture 1 - Gwynie's puppies. Note that when mommy is not around, the puppies tend to use the heated whelping nest. Morning picture 2 - Siri with Red underneath her, Black in the whelping nest.

Gwynie's puppies are one-week old today and weigh as follows:

Blue has joined the 300-gram club, and Red the 200-gram club. As I predicted, Pink had a lull so White has nosed in front of her.

Now that the puppies are one-week old, I am no longer taking Gwynie's temperature each morning. Gwynie's c-section incision is healing nicely.

When I temporarily put puppies up on my bed while I change the bedding in a whelping box, their mother get up on my bed to check on the puppies. Gwynie let her puppies nurse.

Blue and Pink napping on top of White.

Gwynie is spending less time in the whelping box. But Gywnie is usually not far away from her puppies.

Almost always I see Siri's puppies tucked up underneath Siri. Gwynie did the same thing with her puppies when they were first born. I finally was able to get a photo of Red showing off his collar.

10 Sep
Morning picture 1 - Gwynie's puppies. Morning picture 2 - Siri and her puppies.

When I was weighing puppies this morning, I noticed that Gwynie's puppy Blue had his mouth open. Later as I was checking on everyone, my heart sank as I saw Blue gasping for air with deep compressions of his chest muscles. Here is a short video in mov format of what I was seeing. I had seen this before in puppies. The signs indicated to me that Blue had "puppy lung development disease" - a fatal condition. The lungs of puppies (and newborn babies) continue to develop after birth. But sometimes things go wrong with this development. The term "puppy lung development disease" is what breeders call this condition. Pathologists can see abnormalities in the lung tissue during an autopsy. It is thought that there is a genetic cause, and we know that it happens in other breeds besides Norwich Terriers. But Norwich Terriers seems to have a higher incidence than other breeds. There was a DNA study of Norwich with puppy lung development disease a couple of years ago (to which I contributed DNA samples), but nothing conclusive seems to have come from the study. In the past I have tried putting an affected puppy in an incubator with an oxygen concentrator, but the treatment had no effect; the puppy died.

When Blue started crying both Gwynie and Siri got in Gwynie's whelping box to comfort the puppy. I shooed Siri out before Gwynie could get upset, and then let Gwynie say goodbye to Blue. I drove Blue to the emergency room of the NC State Veterinary Hospital. I considered this a "hail mary" play. If I did nothing, I felt sure Blue would die. So doing something seemed better than doing nothing. At the least we might learn something.

I left Blue at the NC State Veterinary Hospital where I understand they put Blue in an incubator with oxygen. I got a report at the end of the day that Blue seemed to be a bit more comfortable, but that they had not started any treatments yet.

On my way home I stopped at my petsitter and picked up my other dogs. This had been what I had planned for today. When we got home there was much greeting by Gwynie and Siri, and warning - mostly by Siri - for everyone to stay away from Siri's whelping box and puppies.

Gwynie's puppies

Siri's puppies

Black joined the 300-gram club today. Pink nosed past White in the weight race.

11 Sep
Morning picture 1 - Pink and White. Morning picture 2 - (from top to bottom) Red, Siri, and Black.

NC State called this morning to let me know that Blue seemed to be breathing easier, although he was still in an incubator with oxygen.

Black had colic all morning, most likely from overeating. Black's cries made me feel even worse than I already felt about Blue. It is terrible when a puppy is crying and there is little that you can do.

Around noon, NC State called to tell me that Blue's breathing seemed back to normal, and that they were going to wean him from the oxygen.

I got out my nail clippers (regular human nail clippers) and trimmed the tips of the nails of Pink and White. Their nails were getting long enough to start scratching mommy Gwynie when they nursed.

Mommy Gwynie had a unqiue way of guarding her puppies.

Around 3 pm I got a phone call from NC State saying that Blue was off oxygen, seemed to be breathing normally, and that I could come pick him up. I was a bit surprised by this. They felt that since Blue was breathing normally, he would be better off with his mother. (While they had been tube-feeding Blue, they were worried that Blue was not getting enough nurishment. They were right, when I got Blue home I found that Blue had lost 25 grams.)

So I made the drive to NC State, picked up Blue, and brought Blue home. Blue cried off and on during the drive, but was really crying when we got home. I figured that Blue was hungry. But no amount of putting Blue near a nipple of Gwynie seemed to help; Blue continued to cry. Siri was on my bed looking into Gwynie's whelping box. Siri was whinning, clearly upset by the distressed puppy. It was almost as if Siri was saying "Give him to me, I will take care of him." Having nothing to lose and knowing that Siri had lots of milk, I put Blue into Siri's whelping box with Red and Black. Gwynie was not happy, but Siri is top dog in my house and let Gwynie know that she now had Blue. To my surprise, Blue did seem to settle down and was crying less. So I left Blue with Siri for the night.

12 Sep
Blue cried often during the night. The morning weighing showed that Blue had gained only one gram overnight - but at least he did not lose weight.

Morning picture 1 - White and Pink in an "S" sleeping pattern. Or is that the "yin-yang" formation?

Morning picture 2 - (from top to bottom) Black, Siri, and Blue. Red was tucked up underneath Siri. A little later I got a photo that included Red. Note that Black (next to Blue) just looks like a blur since he was moving.

Black using Blue as a pillow.

I had an appointment today at my local vet's office for the veterinary technician to draw some blood from Gwynie and spin it down in order to get some serum for a "nomograph". (A nomograph is a titer that will tell us when to vaccinate the puppies.) Normally I have this done prior to whelping puppies; this is Gwynie's third time getting poked for serum for the nomograph. Unfortunately twice now the serum got delayed and hence ruined during transportation to the University of Wisconsin (where the nomograph is done). Hopefully the third time will be the charm. I was not sure how long we would be gone at the vet's office. In case Pink and White got hungry while Gwynie was away, I put them also in with Blue in Siri's whelping box (from top to bottom - Siri, White, Pink, Blue, Red, and Black). Siri was very happy to have all the puppies! When we got home, I found the puppies working on their choreography (from left to right - White, Blue, Black, Pink, and Red).

Until Siri moved her head to lick Black, Siri and the puppies were making a circle - but I did not reach my camera in time.

Blue was quiet during the afternoon and even nursed from Siri but only gained a little weight. Everyone else had nice weight gains. White joined the 300-gram club, pulling ahead of Pink.

13 Sep
Morning picture 1. Blue spent the night in Siri's whelping box and was quiet, so I moved Blue back to Gwynie's whelping box this morning. Blue lost a gram overnight. Morning picture 2 - Black and Red.

White napping on his back.

Siri checking on Blue in Gwynie's whelping box.

All the puppies including Blue were quiet today. Gwynie with Pink, Blue, and White and Red and Black.

Blue had a nice weight gain today. I noticed when I picked Blue up that he opened his eyes. I hate to get my hopes up - only to have them dashed later - but it seems like Blue may survive. Perhaps the oxygen treatment at NC State was the trick. Or perhaps I was wrong with my diagnosis of puppy lung development disease ... although Blue clearly was having respiratory distress. In any case Blue seems to be doing ok now. Grow little puppy, grow!

14 Sep
Siri's puppies are one-week old today, and weigh as follows:

Black joined the 400-gram club this morning. Pink joined the 300-gram club, pulling ahead of White.

Siri guarding her puppies. I am no longer bringing water to Gwynie and Siri. Both now drink from to the communal water bowl that all my dogs use. I am still bringing Gwynie and Siri food to eat in their respective whelping boxes. I suspect that they would eat in their crates in my living room if that is where I put their food bowls.

From top to bottom, White, Pink, and Blue

Pink napping on her back. And later showing off her new collar as her old collar had gotten dirty and tight.

Red and Black nursing. Notice Black's nails which will soon darken.

A little colic by Black today; he tends to overeat and then have a sore tummy. But mostly the puppies were quiet. On my frequent trips into my bedroom to check on the puppies I am always looking to see if the sleeping puppies are "twitching". Sometimes I have to stare at a puppy to see it, as a puppy can be still but all of a sudden "jerk". This twitching or jerking is normal and believed to be due to nerves growing.

Blue is still the only one of Gwynie's puppies who opens his eyes when I pick him up. When I put him back down, Blue closes his eyes again. White is starting to open his eyes, but all I see when I pick him up right now are small slits (as in "why are you bothering me").

In the weight race, the current order is Black, Blue, Red, Pink, and White. White has not gained in the last twenty-four hours which has me a bit concerned. I may put Blue back in with Siri tonight, as Siri seems to have a lot of milk.

15 Sep
Morning picture 1 - (left to right) Blue, Pink, and White. Blue joined the 400-gram club today, after spending the night with aunt Siri. Note the cottage cheese in the background. I am surprised that Gwynie is not immediately eating it. Morning picture 2 - Red being licked by Siri, Black is in the background.

I left Blue in Siri's whelping box today.

Here is White showing off his new collar. I also changed the collars of Red and Blue.

Now that Blue is doing well, my concern has shifted to White. White has not been gaining weight. Tonight I am putting Red, White, and Pink in Siri's whelping box, and Blue and Black in with Gwynie.

Week 3

16 Sep
Gwynie's puppies are two weeks old today and weigh as follows:

Morning picture 1 - Pink, Blue, and White. First think in the morning, I put all the puppies back in their proper whelping boxes. Morning picture 2 - Red and Black. Black always seems like just a black blob when I take pictures. I was determined to get a good picture of Black today. Here is Black's face. Notice that as Black grows, the "tan" color seems to be spreading. Red of course wanted his picture taken.

Afternoon picture 1 and afternoon picture 2. There really is not much exciting going on right now. Everyone is quiet. Not long after I took these pictures, I put White in with Siri where I saw him nursing.

Since Gwynie is not immediately eating her cottage cheese, today I tried whole milk yogurt. Yogurt seems to be more to Gwynie's liking. It is important that nursing mothers get extra calcium. If not, a nursing mother can get hypocalcemia (low calcium; also known as eclampsia or milk fever) which can be fatal. If you take a nursing bitch to the vet with any complaint, almost the first thing the vet will do is check the dog's calcium level.

17 Sep
Morning picture 1 - White spent the night in Siri's whelping box and had a respectable weight gain overnight. Morning picture 2 - Red and Black.

Pink opened her eyes today. All three of Gwynie's puppies have now opened their eyes. It is time to put things in the whelping box so that their eyes can learn to focus.

With Gwynie's puppies now being two weeks old, it was time to start deworming them. Each puppy got 0.1 ml of pyrantel. The puppies will get dewormed every two weeks until older. Gwynie started another three-day course of deworming with fenbendazole. Dogs (like people) often have parasitic cysts (eggs) in their bodies (most commonly in the GI track). These cysts are normally kept in check by the immune system. However during pregnancy the immune system is suppressed so as not to attack the puppies. This can allow the cysts to "hatch" causing worms. And worms can be passed from mother to puppies when nursing. This is why we worm canine mothers both before and after giving birth, plus worm the puppies.

I noticed today that Blue is starting to spend time out of the heated whelping nest. Blue probably is starting to generate his own body heat, which happens around this time in puppy development. For the first two weeks or so of puppy development, puppies are dependent on external sources of heat (such as their mother's body). We want the puppies to be warm so that they can digest their food, and also to fight off viruses. There is a canine herpes virus - related but different from the human herpes virus - that breeders fear as it can quickly kill an entire litter of puppies. So I am happy to see Gwynie's puppies starting to generate their own body heat.

White spent the day with Gwynie and his siblings. White had a nice weight gain today. I hope it continues. Blue seems like he is trying to catch up to Black and retake the lead in the weight race. Red joined the 400-gram club this evening.

Siri lodged a protest with management on the lack of coverage of her puppies.

18 Sep
Morning picture 1 - Pink joined the 400-gram club today. Morning picture 2 - Black joined the 500-gram club. Siri's puppies, being at the foot of my bed, just do not get good light for pictures when it is overcast like it was this morning.

Pink has nosed ahead of Red in the weight race. The order right now is Black, Blue, Pink, Red, and White.

I was looking over my notes from previous litters, and noticed a reminder to myself to stop weighting puppies twice a day once the puppies reach two-weeks of age. A lack of weight gain over a 12-hour period only causes me to worry unnecessarily. A 24-hour period between weighings is more appropriate.

I was reminded today when I saw that Black had joined the 500-gram club that it was time to start weighing the puppies using my "big dog" scale, rather than my puppy (postal) scale. The puppies are outgrowng the box in which I put the puppies, plus the puppies move around so much that the scale keeps reporting different values. My "big dog" scale averages the weight over five seconds and returns a single number. The downside of my "big dog" scale is that it only reports values in 5 gram increments.

Red and Black.

Red's face

Gwynie's puppies, after nursing, are active for about 10 seconds or so before falling back asleep. They try to get up on all four feet, but mostly fall over as they have not yet learned to coordinate their feet. The time interval during which they are active will slowly increase.

19 Sep
Morning picture 1 - Pink and White nursing, while Blue is sleeping it off. Morning picture 2 - Red and Black. Blue joined the 500-gram club this morning and is within striking distance of retaking the lead from Black in the weight race.

Siri is top dog in my house, and Gwynie almost always defers to Siri. I have noticed that Gwynie is no longer growling at Siri if Siri gets close to Gwynie's puppies. If Siri hears a sound from a puppy in Gwynie's whelping box, Siri now jumps in to investigate. Gwynie just stands aside without complaining.

This morning I had Gwynie's puppies up on my bed while I changed the bedding in Gwynie's whelping box. Siri got up on my bed to be with Gwynie's puppies. White took the opportunity to nurse from Siri.

White sleeping on his side. When Gwynie's puppies were moving around, I was able to get a photo of White with his head lifted.

Red. Red and Black have not opened their eyes yet.

Red and Black nursing.

Red says "I'm sleeping. Do not bother me. Talk to the hand."

20 Sep
Black over-ate again, and his cries because of a sore tummy woke me around 3 am. I figured Siri must have a lot of milk, so I put White in with Siri and White began nursing. After White stopped nursing, I put hime back in with his siblings in Gwynie's whelping box.

Morning picture 1 - Blue, White, and Pink doing a conga line dance. Morning picture 2 - Siri, Black, and Red.

Gwynie's puppies nursing. Black lifing his head with Red in the background. I had not yet changed the bedding in the whelping boxes. Some of the dirt has been tracked in by Siri and Gwynie.

Red and Black nursing. Notice how big they have gotten!

I do not know what to call this puppy group position - other than something to give me a heart attack as it looks like Blue and White are dead. (There were not dead, just sleeping.) Note the stains to the right of Pink. I will now explain.

When puppies are born, they can not pee nor poop on their own. Their mother has to lick a puppy's belly to get it to pee and poop. The mother then drinks the pee and eats the poop to keep the nesting area clean. I have been trying to get a picture of this licking, but I have not been successful. Now that Gwynie's puppies are older, they are starting to pee and poop on their own. Mommy Gwynie continues to try to keep the nesting area clean by eating (licking up) the poop. Hence the stains to the right of Pink. This attempt to keep the nesting area clean will become a losing battle as the puppies get older. Fortunately mommies Gwynie and Siri have a butler who daily changes and washes the bedding in the whelping boxes.

21 Sep
Morning picture 1 - Gwynie and her brood. Morning picture 2 - Red and Black.

Siri's litter is two weeks old today. Both Black and Red have opened their eyes, and they weigh as follows:

Red joined the 500-gram club today. I wormed Black and Red, and I will be worming Siri later.

Of course, when they are sleeping - which is most of the time - Red and Black have their eyes closed.

Since their eyes are now open, I will put things in Siri's whelping box for Red and Black's eyes to focus on.

Since White is still last in the weight race, if I see Red and Black nursing I often put White in to nurse off of Siri also. Here is White next to Black. White is lying on his back to nurse. Red is on the other side of Siri. When White was finished, I put him back in Gwynie's whelping box. Gwynie is hardly upset about these transfers any more.

22 Sep
Morning picture 1 - White (on the left) finally joined the 400-gram club. Morning picture 2 - Black joined the 600-gram club today, and has pulled away from Blue to maintain his lead in the weight race.

It is interesting noticing the difference that a few days makes in the two litters. Now when I put Gwynie's puppies up on my bed while I change the bedding in their whelping box, all three puppies become active, moving around, sniffing the different smells probably left by my other dogs. When I put Siri's puppies up on my bed, they just go back to sleep.

Siri's puppies have started to generate their own body hit and no longer spend all their time in the heated whelping nest.

Three heads.

Pink up on her front legs.

Blue yawning.

I clipped the nails of all the puppies today. I believe this was the first time that I have clipped the nails of Red and Black. While doing so I discovered something interesting. Both Red and Black have rear dewclaws; while Pink, White, and Blue do not. (So now if it was dark, I could distinguish the two litters by feel.)

I believe all dogs have front dewclaws, which are analogous to human thumbs. Many Norwich breeders remove dewclaws at the same time that they dock tails. Professional groomers hate dewclaws, as dewclaws slow down grooming. I do not dock tails. On the advice of a well-known sports medicine veterinarian, Dr. Chris Zink, I do not removed front dewclaws. Chris argues that front dewclaws, which are low on the front legs, are tied into muscles that will atrophy if front dewclaws are removed, making a dog less stable and agile.

Rear dewclaws are another matter. Most dogs do not have rear dewclaws. It is thought that there was an evolutionary advantage to not having rear dewclaws. (Although a few breeds have rear dewclaws in their standards and so are bred to maintain rear dewclaws.) Thus the genetic machinery that would cause the equivalent of a human "big toe" to develop is "turned off" in the canine genome. Rear dewclaws are high up on the leg and only attached to the leg by a loose bit of skin. Thus the claw can catch on something and tear off, causing the dog pain. Rear dewclaws should be surgically removed, which is easy to do when a dog goes under anesthisia during its first dental cleaning.

So "normal" for a dog is to not have rear dewclaws. Scientifically, a rear dewclaw is called a "hind limb preaxial polydactyly". Polydactyly just means an extra digit (finger or toe). Polydactyly also occurs in other animals - including humans - and is often seen in cats. (Perhaps you have heard of Hemmingway's cats.) In dogs, a mutation in the LMBR1 gene on canine chromosome 16 can cause rear dewclaws, although other (unknown) mutations can also cause rear dewclaws. The DNA testing company that I use (Embark) reports on the mutation in the LMBR1 gene. I know that the mutation likely came from Red and Black's father. I will be interested when I Embark-test Red and Black as to whether they carry the LMBR1 mutation. (If not, that would be really interesting!) The research that discovered the LMBR1 mutation was done in 2008, and I have not found any more recent research on canine polydactyly. (Google Scholar is my friend.)

Week 4

23 Sep
Morning picture 1 - Blue, Pink, and White. Morning picture 2 - Siri is licking Red, while Black continues to nurse.

Both Gwynie and Siri have become used to my picking up the puppies. They no longer seemed concerned that I will drop one of their puppies - (humans are so clumsy) - but they do watch me carefully. To distract Gwynie and Siri while I weigh their puppies in the morning, I give them their morning dose of calcium (cottage cheese for Siri, plain whole-milk yogurt for Gwynie). Blue decided to check what mommy Gywnie was eating. Blue got yogurt on his face and head. Mommy Gwynie later licked the yogurt off of Blue.

Gwynie's puppies are three-weeks old today, and weigh as follows:

Blue joined the 600-gram club today, and Pink joined the 500-gram club.

Now that Gwynie's puppies are three-weeks old, my pessimism turns to cautious optimism that Gwynie's puppies will survive. Although, I am still concerned about White; I wish he would gain more weight.

Up until now I have been calling Gwynie's puppies by the color of their collars. This is partially psychic protection for me in case a puppy dies. But now that Gwynie's puppies are three weeks old and I think they will survive, it is time to name them. Each puppy will get two names - a formal "registered name" which will go on their American Kennel Club (AKC) paperwork, and an informal "call name". Call names - being informal - often get changed, especially by new owners when a puppy goes to a new home.

My naming convention for a litter is to pick a Shakespeare play and use names associated with that play - character names, or actor names from a particular production of the play (or spin-off of the play). Often the play that I choose is something that I have recently seen, or even something that recently reminded me of the play. For Gwynie's litter, I was recently watching the HBO series "The Newsroom", one of whose episodes is called "First thing we do, let's kill all the lawyers". This line is from Henry VI Part 2, so that became the play for Gwynie's litter. All this past week I have been trying out various formal and informal names. I like call names that are two-syllable, as they are easy to say. So without any further ado, here are the registered name and (in parentheses) call name for each of Gwynie's puppies.

From now on I will refer to Gwynie's puppies by their call names.

Afternoon picture 1. It was a quiet rainy day here, so I did not seem much activity. I did see Maggie very briefly up on all four legs before toppling over. Later I saw Maggie interacting with the toy in Gwynie's whelping box - pushing the toy with her head and also trying to bite the toy.

Afternoon picture 2. Black is sleeping next to mommy Siri. Red has his paw up in front of his face as if to say "No pictures now. I am sleeping." ... or perhaps to block the flash from my camera.

24 Sep
Gwynie's whelping box always looks so messy in the morning compared to Siri's whelping box. I am not sure why, but it has crossed my mind that perhaps one or more of Gwynie's puppies has diarrhea. Since Gwynie cleans (licks) her puppies' rear-ends, I can not be sure.

I believe the ear canals of Gwynie's puppies opened last night and Maggie, JC, and Ricky can now hear. In the morning, my oldest - Mandy - barks furiously telling me to hurry up, get out of bed, and feed her. I have been watching Gwynie's puppies in the morning, and today I noticed that they all raised their heads when Mandy was barking, as if to say "What is that strange noise?".

I had trouble this morning getting JC's weight. JC kept getting up on his front legs, which made him slide backwards on my scale and fall off the edge of the scale. When I finally was able to get JC's weight, I realized why he did not want me to see his weight. JC lost weight in the last twenty-four hours, and was no longer in the 400-gram club. If I saw Gwynie or Siri nursing today, I was ruthless about pulling off the nursing puppy and shoving JC into the spot. Here is JC with Red and Black after nursing with Siri. And later back with his litter-mates.

Black and Red sleeping, glad that the interloper, JC, was now gone.

Maggie sitting up. All of Gwynie's puppies were trying to walk today, even Ricky who is so heavy. They would get up on their front feet, then get up on all four feet ... but then either move backwards or have their rear legs slide out from underneath them. It was like they were trying to stand on ice. Here is JC, who was up, but then his rear feet slide out from underneath him. Dang those rear feet! This must have gone on for 30 seconds or so before everyone gave up and went back to sleep.

Afternoon picture 1 - Gwynie napping with her puppies. Maggie is at the top in the corner, Ricky is tucked up between Gwynie and the wall, and JC is on the other side of Gwynie. Afternoon picture 2 - Siri napping with Red and Black.

25 Sep
Morning picture 1 - Maggie next to the toy, then Ricky, and finally JC. I was pleased that Gwynie's whelping box was relatively clean this morning, after being so dirty the past few days from suspected diarrhea. Morning picture 2 - Note that Black is sleeping outside the heated whelping next. Black is definitely generating his own body heat.

Black joined the 700-gram club today. JC, on the other hand, had his third straight day of weight decline. I called my local vet, but I could not get an appointment until tomorrow for JC.

Maggie snuggled with a toy. Later I found Maggie using brother Ricky as a pillow.

I took this picture in the late afternoon. Ricky is sleeping on the toy, JC and Maggie are napping in the heated whelping nest. Notice the stain just to the right of Ricky ... for which there is a story.

Earlier this morning I was checking on the puppies and I noticed that there a bit of poop where the stain later is in Gwynie's whelping box. The poop was not solid-formed but soft, almost diarhea but not liquid. The poop must have been relatively new as Gwynie had not cleaned it up. I was not sure who made the poop, but suspected either nearby JC or Maggie, as Ricky was on the other side of the whelping box. I quickly scooped the poop up with a tissue (which left the stain). I took the poop to my local vet for a fecal exam, as a parasite was on my list of suspects as a cause of JC's weight loss. In the afternoon I got a phone call from my vet's office - the poop I had brought in had a large number of coccidia cysts - meaning that someone was infected with coccidia, a single-celled protozoa. Normally the immune system of an adult dog takes care of coccidia ... but in puppies coccidia can be fatal. This is most likely the cause of JC's weight loss. I went back to my vet, got sulfadimethoxine - a sulfa-based antibiotic, came home and immediately dosed all the puppies - both Gwynie's and Siri's. Most likely JC got coccidia from either Gwynie or Siri. Coccidia is species-specific, but has very hardy cysts who can last a long time in the environment until injested and their life-cycle begins again in the gut. I will be taking all my dogs tomorrow to my vet's office - JC for his appointment with my vet; my adult dogs for fecal exams and likely more medication.

26 Sep
Morning picture 1 - JC and Maggie, using Ricky as a pillow. Ricky joined the 700-gram club today, and I was happy to see JC gain weight putting him back in the 400-gram club. Morning picture 2 - Black and Red.

I took all the puppies - who refused to look at the camera - and all my adult dogs to the vet today. Their crates piled up made quite a sight in the waiting room. Note the pad on top of the crates. My adults were there to see a tech who collected a fecal sample from each dog. The puppies, especially JC, were there to see the vet. When we got in the exam room I laid the pad out on the floor and got the puppies out of their crate. The puppies were evidently exhausted from the new experience of a car ride. From top to bottom - Maggie, Black, JC, Red, and Ricky.

The vet came in, examined JC, and - other than the weight loss of the previous days most likely caused by coccidia - declared JC healthy. My vet did note that the soft spot on the top of JC's head had not closed yet. Puppies, like human babies, have a soft spot on the top of their head until the skull bones grow and fuse together. Most likely JC's fontanelle will close as JC gets older. ("fontanella" meaning soft spot on the top of the head, and my new word for the day.) This will be something to check at future vet visits. Ricky got bored while JC was being examined, crawled/walked back into the crate, leaving Maggie, Black, and Red. After my vet was finished with JC, she was kind enough to look at everyone else:

and somehow I missed getting a picture of Red being examined. (Red still has not forgiven me.) My vet declared everyone healthy, all the boys had two balls, and no one other than JC had a fontanelle. (Notice that I used my new word in a sentence.) Black was so traumatized by the entire experience that he did his possum impersonation ... or maybe Black just decided to take a nap.

The fecal results for all my adult dogs - including mommies Gwynie and Siri - came back negative. My vet and I discussed coccidia and how to proceed. The plan is to keep the puppies on sulfadimethoxine for eight days, and also put all the adults on sulfadimethoxine for eight days. (All except Ophelia, who may be pregnant.) Sometimes the fecal floation test is not sensitive enough to pick up coccidia. I am to wash all the bedding in my house, and give my adult dogs baths in case they have picked up coccidia cysts in their fur. If the puppies show any signs of illness, I am to bring the puppies back to be seen by a vet. Other than that, bring the puppies back in approximately three weeks for fecal tests.

Afternoon picture 1 - Ricky and Maggie using JC as a pillow. Afternoon picture 2 - Black teaching Red how to play possum.

27 Sep
Morning picture 1 - From left to right, Ricky, Maggie, and JC. Maggie joined the 600-gram club today. JC had a nice weight gain, but is approximately 200 grams lighter that Maggie. When I see Siri nursing but not Gwynie, I am still putting JC in with Siri to nurse. Grow little puppy, grow!

Morning picture 2 - Black and Red. Black joined the 800-gram club today. I was surprised at how "dirty" the bedding was in Siri's whelping box this morning; it reminded me of what I had been seeing in Gwynie's whelping box. I have read that the sulfadimethoxine that I am giving the puppies does not actually kill the coccidia protozoa, but rather interrupts development when the protozoa reproduce. (This interruption in development is why sufadimethoxine can not be given to my girl Ophelia who may be pregnant.) After stopping development, the immune system takes care of (kills) the adult coccidia. I hope this diarrhea in Siri's whelping box is just flushing out dead coccidea.

Gwynie's puppies - Ricky, Maggie, and JC - are almost walking. They get up on all fours, take a step or two, but then fall over. They are using this form of locomotion more and more. Siri's puppies - Red and Black - are getting up on their front legs, but still mostly crawl to get around.

I have observed that often when Siri and Gwynie go into my bedroom to check on the puppies, that Siri will first peek into her whelping box. If Siri finds everthing ok, she then goes and peeks into Gwynie's whelping box to make sure everything is ok there also. Only then is Gwynie allowed to check on her puppies.

Sometimes when I pick a puppy up it will make a trilling sound, which seems to be their way of expressing annoyance at being disturbed. If you ever saw the original Star Trek episode "The Trouble With Tribbles", the sound seems exactly the same as the sound of a tribble.

Afternoon picture 1 - Gwynie's puppies nursing. It has been an overcast day today, so the flash of my camera caused a reflection in Gwynie's eyes. Afternoon picture 2 - Siri's puppies nursing.

28 Sep
Morning picture 1 and morning picture 2. I was happy to see no evidence of diarrhea in either whelping box. JC had another nice weight gain since yesterday.

Siri's puppies are three-weeks old today and weigh as follows:

Both Red and Black seem to be hearing noises now.

Since Siri's puppies are three-weeks old, my pessimism turns to cautious optimism that Red and Black will survive. Red and Black have not caused me any worry; whereas each of Gwynie's puppies has caused me worry. (And I remain concerned about JC.)

Being three-weeks old, it is time to name Siri's puppies. This was an easy litter to name. Black is my first black-and-tan Norwich. All my other Norwich have been some shade of red or grizzle. So the Shakespeare play "Othello" immediately came to mind. And the other leading male in "Othello" is the character "Iago". And for another tie-in, Siri is named after the Shakespearean actor Sir Ian Mckellen, whom I had the pleasure once of seeing play Iago on stage in London.

So their registered and call names will be:

The derivation of Red's call name is Iago -> Santiago -> Sandy. I will refer to Black and Red as Otto and Sandy from now on.

While Gwynie's puppies were on my bed while I changed the bedding in their whelping box, I noticed that they are now crawling around and getting too close to the edge of my bed. So I decided that today was the day that I would set up the puppy playpen in my living room. Here is the completed puppy playpen next to my desk, with Gwynie inside the crate and Siri outside checking on the workmanship.

When I moved Gwynie's puppies out to the playpen around noontime, Maggie and JC immediately started nursing. Ricky did a belly-flop over the wooden barrier designed to keep puppies in, and started exploring. However my tile floor is very slippery for puppy feet, so Ricky could not go far and I put him back inside the playpen. Gwynie led all her puppies inside the crate where they nursed. The puppies then fell asleep and stayed inside the crate most of the afternoon.

I left Sandy and Otto in their whelping box. Sandy and Otto are at the stage where their attempts to walk look like slipping on ice.

When Gwynie's puppies awoke in the late afternoon, there was a mad scramble to get to Gwynie to nurse. After that it was time for exploration. Both Maggie and Rickie (on the right in the photo) did a circumnavigation of the crate. During the journey Sandy stopped to rest. I was able to get a photo of Sandy up on all four feet. Aunt Izzy came over to investigate the puppies and did a beautiful play-bow (although I do not think the puppies appreciated it). Here is Ricky tasting a ball and a little later trying to chew his way out of "prison". Here are all of Gwynie's puppies moving around - (from top to bottom) JC, Ricky, and Maggie. Then it was time to nurse again and take another nap.

Later I saw JC outside the crate crying. Siri got into the playpen and I think let JC nurse a bit, while Gwynie looked on.

At the end of the day, Gwynie's puppies magically flew back to their whelping box for the night.

29 Sep
Morning picture 2 - Sandy and Otto. Sandy joined the 700-gram club today.

Morning picture 1. I decided that today was the day to start offering Gwynie's puppies food. Rather than get up, weight Gwynie and Siri, then prepare breakfast for my adult dogs ... now my routine will be to get up, weight Gwynie and Siri, weigh Gwynie's puppies, move Gwynie's puppies to the playpen for the day, prepare breakfast for Gwynie's puppies and my adult dogs, and start serving - beginning with Gwynie's puppies. JC did not gain any weight since yesterday, but neither did Ricky. Sometimes there are pauses in weight gain so I am not unduly worried ... although I want to see JC gain weight. Maggie and Ricky immediately began eating, justifying my decision to start feeding the puppies. The food is Royal Canin Starter, a canned food specifically for puppies just starting to eat. JC was not interested in the food, even when I tried to feed him by hand. Perhaps JC had recently nursed, and was not hungry. Maggie and Ricky certainly did a respectable job with their first meal. Mommy Gwynie - like mommies everywhere - got to clean up. Later Gwynie was aided by aunt Ophelia (on right). After breakfast, Ricky, JC, and Maggie walked around exploring. I really should say "staggered around like drunken sailors" rather than "walked". Getting tired Maggie headed into the crate for a nap. (Notice JC up on all four feet.) Mommy Gwynie had to get in the crate to encourage JC and Ricky to stop playing and come inside for a nap.

Lunch was a repeat of breakfast. As was dinner. At dinner, I tried to get JC to eat more by feeding him from my hand. JC ate a bit more, but had an unusual reaction to the food. JC would get some food in his mouth, but then act as if he some food caught between his teeth. Of course, JC is too young to have teeth yet, but JC was really working at what was in his mouth. I do not know what to make of this reaction.

A pile of puppies.

While I would like JC to eat, mommy's milk is still probably the best thing for JC. When I have seen Gwynie letting the puppies nurse, I have removed Ricky until JC has his fill, then put Ricky back with Gwynie to nurse. JC needs the calories more than Ricky who is almost twice the weight of JC. I have also continued to put JC in with mommy Siri when I have noticed Siri nursing her puppies.

I will be feeding the puppies four times a day - breakfast, lunch, dinner, and before-bed.

Siri has once again filed a complaint with management about the lack of coverage of her litter. All I can plead is that Sandy and Otto have to do something other than sleep. Here is Siri waking up Otto to tell him that the milk bar is open.

Week 5

30 Sep
Gwynie's puppies are four-weeks old, and weigh as follows:

Ricky joined the 800-gram club today, and Maggie joined the 700-gram club. JC had a respective weight gain since yesterday.

Morning picture 2 - Red and Black.

JC again turned his nose up at the Royal Canin Starter canned food that was offered for breakfast. As an experiment, I poured some Esbilac into the food bowl. Esbilac is a commercial puppy milk formula. This JC licked, as did his brother and sister.

While I am concerned about JC, he is gaining weight. So I decided to go ahead with my planned trip to "Montgomery".

"Montgomery" to a terrier person means the terrier-only (conformation) dog show held annually in early October in eastern Pennsylvania, put on by the Montgomery County Kennel Club. Almost always, Montgomery is the largest gathering of Norwich Terriers in the world. I have attended every Montgomery since 1997 (although someday something will cause me to miss one). On the days around "Montgomery" have grown up lots of dog events - many terrier-specific - so it really is Montgomery-week rather than just the one day of terrier-only conformation. For me, I usually compete at the four days of terrier-only agility (my favorite agility trial), attend the national Norwich club's health seminar, banquet, and business meeting (all on different evenings), and then "Montgomery" on Sunday. I will be away from the puppies for a whole week, but I am fortunate to have two very good petsitters. Plus now that everyone is three-weeks old, I am cautiously optimistic that the puppies will survive.

I spent today transporting puppies to my petsitters. First I dropped of Gwynie and her puppies with Ali and her family:

Then I took Siri and her puppies to Nancy's house and helped them get settled. (You have to look carefully for Otto, who was taking advantage that the milk bar was open.)

For those of you wondering when I will start to take applications for the puppies, I plan to do so not long after I return from Montgomery. In the meantime, besides keeping me informed on weights and how everyone is doing, I have asked both Ali and Nancy to send me pictures, which I will share as time permits.

In the evening Ali sent me the following photos:

1 Oct
Picture from Ali (Gwynie's litter):

Pictures from Nancy (Siri's litter):

Otto joined the 900-gram club today.

2 Oct
Pictures from Ali (Gwynie's litter). Ali took the puppies on their first outdoor outing today.

Pictures from Nancy (Siri's litter):

3 Oct
Gwynie's puppies taking an afternoon siesta. JC is using sister Maggie as a pillow.

4 Oct
Picture from Ali (Gwynie's litter):

Ali reports that Maggie and Ricky's baby teeth are beginning to break through their gums. I am told that the puppies have new nicknames:

Pictures from Nancy (Siri's litter):

Nancy reports that Otto and Sandy are beginning to play with toys. Both ate a bit of canned food today for the first time. Sandy joined the 800-gram club today.

5 Sep
Pictures from Ali (Gwynie's litter):

Siri's litter is four-weeks old today, and Nancy reports that they weigh as follows:

Pictures from Nancy (Siri's litter):

6 Oct
Pictures from Ali (Gwynie's litter):

Nancy reports that Otto joined the 1-kilogram club today.

Week 6

7 Oct
Gwynie's puppies are five-weeks old, and Ali reports that they weigh as follows (pictures by Ali):

JC joined the 600-gram club today, but is noticeably behind his siblings.

Pictures from Nancy (Siri's litter):

8 Oct
Pictures from Ali (Gwynie's litter):

Ricky joined the 1-kilogram club today.

Pictures from Nancy (Siri's litter):

Nancy tells me that Otto joined the 1100-gram club today.

9 Oct
Today was devoted to bringing everyone home. I first picked up Siri and her litter from Nancy. Nancy reported that Sandy joined the 900-gram club today. We then went and visited at a friend's house:

Next I went and picked up Gwynie and her litter at Ali's house.

All the puppies have grown and are up walking!

When I got home, there was much greeting of everyone. The puppies were hesitant about coming out of their crates because of all the barking.

All the puppies together in the puppy playpen. At night the puppies will continue to sleep divided by litters in their respective whelping boxes. But during the day the puppies will be all together.

For dinner, I ground up some puppy kibble and mixed it with some canned puppy food. The puppies will take communal meals four times a day.

After dinner, I put Gwynie on my bed and let JC have some private nursing time. Note that Gwynie's c-section scar has healed nicely.

Ricky was the adventurous one, exploring in the middle of my fenced yard. The puppies had outgrown their collars that they wore when I left. So today everyone got new collars. Here is Ricky modeling his new collar.

Otto and Maggie went "over the wall" - the wooden log - and explored my living room. Otto demonstrated that he could go in and out of the puppy playpen several times.

10 Oct
Morning picture - Breakfast. Afterwards, mommy Siri had cleanup duty. After a potty trip outside, it was time for naps. All five puppies instinctively go into the crate and sleep together. When mommy Siri stopped by to check on the puppies, JC took the opportunity to get some milk.

Later the puppies had their first visitors.

Visitors being exciting but exhausting, afterwards the puppies took naps. Two puppies went to sleep in the big dog crates on the opposite side of the room from the puppy playpen. Otto took a nap on the dog bed underneath my desk. Ricky and another puppy decided nurishment from mommy Siri was the thing to do.

Afterwards it was back outside for more play. Note JC and Maggie getting a drink from mommy Gwynie.

11 Oct
Morning picture - As soon as I get up, I rush to get the puppies outside to go potty. You can see Ricky off by himself pooping. After everyone gets weighed, it is time for breakfast. Mommy Gwynie had cleanup duty today. Then back outside to potty and play with mommies Gwynie and Siri supervising.

Otto wedged into what seems like an uncomfortable position for a nap.

The puppies are doing a lot of jumping and biting of each other. Some of the biting is quite harsh. But since their puppy teeth are not fully in, no one seems hurt. Here is Ricky trying to bite JC's tail.

12 Oct
Siri's litter is five-weeks old and weighs as follows:

Maggie joined the 900-gram club today, and JC joined the 700-gram club.

Morning picture - breakfast. The puppies were hungry this morning and I had to give them seconds. After breakfast, the puppies hung out on their "porch".

Ricky among the pile of toys. Later napping on a big dog bed. And even later, using the wooden block as a pillow.

Sandy investigating the baby tunnel on my porch.

I believe Maggie is the first to find the communal water bowl. (The puppies have a small water bowl in their playpen.) The water is green because of a water additive called "Healthy Mouth".

13 Oct
During the night and this morning, Otto called out that he was hungry but Mommy did not immediately come. So Otto crawled out of the whelping box (three times!) in search of mommy. Otto is too young to move to a crate for the night, so tonight I will begin locking Otto, Sandy and Ricky into Siri's whelping box. This means that I will need to get up and let Siri into the whelping box when Siri wants to nurse the puppies during the night. (I have been putting Ricky into Siri's whelping box at night. I do not want Ricky pushing JC off of a nipple at night.)

This morning Maggie was the first puppy to find her way from my living room to my bedroom. I think Maggie is going for the title of "Maggie The Explorer".

Sandy joined the 1-kilogram club today, and Otto joined the 1200-gram club.

Morning picture - breakfast. The puppies had a good appetite.

While the puppies settled down for an after-breakfast nap, I took a shower. After I finished, I went in search of where the puppies had decided to lay their heads. Sandy and Otto were easy to find, although Otto was difficult to spot (look upper left). Ricky and JC were on another dog bed in my living room. But I could not find Maggie. I finally found Maggie in my bedroom, on a dog bed underneath the ramp to my bed.

JC and Maggie planning future excavation work.

Nap time:

I finally had a chance to set up the new baby dogwalk that I purchased at Montgomery. You can see that old baby dogwalk next to it. Maggie was the first to attempt the new dogwalk:

All five puppies trying to get milk from mommy Gwynie.

Week 7

14 Oct
Gwynie's litter is six-weeks old today, and weigh as follows:

Morning picture - Play time, (from left to right) Otto, Maggie, Sandy, and Ricky. Late I got a picture of JC entering the tunnel.

This morning I watched as Otto, who was outside the playpen, could not get to the water bowl which was inside the playpen. Otto clearly wanted a drink. But no amount of biting at the playpen fence would get him access to the water bowl. Finally Otto figured out that if he went around to the opening of the playpen and went inside the playpen, then he could get to the water bowl.

When awake, the puppies are either exploring ... or jumping and wrestling with each other. The puppies still often sleep together. (Note Maggie on top of JC who is on top of Otto.) But I am noticing that more and more the puppies are going off to either sleep alone (like Ricky did) or in pairs on a dog bed.

I cooked some ground turkey today, which will be the topping on my big dog's kibble for the next couple of days. I put some of the juice on the puppies' kibble, which was a big hit.

When I see a puppy wake up, I try to take the puppy outside to potty before a potty accident occurs. With all the travel back and forth through my door, the puppies have clearly figured out that there is something "magical" about the door. Especially when the puppies have observed the adult dogs going through the door, without my holding the door open. Today I watched as Otto pushed open the doggy door to let himself back inside.

15 Oct
Ricky joined the 1200-gram club today, and Maggie joined the 1-kilogram club. The weight race order continues to be Otto, Ricky, Sandy, Maggie, and JC.

Morning picture - breakfast. I added one crushed blueberry to the breakfast menu. One of the puppies ate the blueberry.

You can add "gatekeeper" to my list of jobs. Maggie left my fenced yard via the open gate today. So now I have to keep the gate closed whenever any puppy is outside in my yard. Which means that I have to open and close the gate to let the adult dogs in and out.

Four puppies napping together - from near to far - Otto, Maggie, Ricky, and Sandy.

Otto and Ricky were wrestling and I was able to get some pictures of Ricky's puppy teeth:

All five puppies have their sharp "puppy teeth" coming in.

For lunch the chef added a small amount of cottage cheese, which the puppies ate. I will be watching to see if the cottage cheese agrees with the puppies' digestive systems.

Maggie, Sandy, and Ricky were all in a pile wrestling ... but by the time I took a picture they had separated.

Two puppies in my baby tunnel. The camera was tilted so it only seems like a puppy is "banking" off the side of the tunnel.

Otto on the new dogwalk.

My last two litters have been singletons (just one puppy in each litter). Watching all five puppies is like watching a three-ring circus. Two puppies are over here, two more are over there, and one is somewhere else!

16 Oct
Sandy joined the 1100-gram club today, and Otto joined the 1300-gram club.

Morning picture. Two crushed blueberries got eaten as part of breakfast. Which ever mommy has cleanup duty gets chased around the food bowl by the puppies. The puppies hope to get some milk. Now that the puppies' teeth are coming in, Gwynie and Siri are less willing to let the puppies nurse. When a puppy comes up to nurse Gwynie and Siri are more likely to move away (Gwynie) or growl at the puppy (Siri). So far both mothers are letting the puppies nurse at night (around 2 am, I believe).

Puppies wresting - Sandy biting Otto's tail, who is on top of Ricky. Because JC is so small in comparison to the other puppies, JC comes out the worse when another puppy jumps on him. JC mostly tries to get away.

You will notice that some puppies have both ears up, some have both ears down, and some have one ear up and one ear down. Ears will continue to go up and down until later when they all will be up.

For dinner, the chef presented a crumbled hard boiled egg on a bed of puppy kibble; some of the kibble coarsely ground. All of the puppies seemed to enjoy the meal. JC always arrives early for a meal and usually is the last to leave.

17 Oct
Ricky joined the 1300-gram club today, and JC joined the 800-gram club.

After breakfast and potty time outside, everyone settled down for an after-breakfast nap:

Maggie, Ricky, and JC in the donut-bed.

I deliberately did not grind up the puppy kibble today. All the puppies now seem able to chew "whole" puppy kibble.

I obviously kept the puppies outside for longer than Ricky liked. So Ricky went to sleep on the new dogwalk.

Sandy and mother Siri.

The puppies always seem to scatter in different directions. Here the puppies are together. Note that Ricky has JC pinned and Sandy is trying to decide whether or not to jump off the porch. A few moments later Ricky was trying to bite JC's tail, Otto was wrestling with Maggie, and Sandy was wandering off.

Here are the intrepid explorers JC and Maggie off exploring the "jungle". Later I saw Maggie - the little dot of brown against the fence - explore further than any of the other puppies so far.

I always like to know where my dogs are - both adults and puppies. I spend a lot of time throughout the day counting noses and making sure I know where everyone is taking a nap. Today I could not find JC. After several passes through my house, I finally found JC sleeping behind my toilet.

Otto is the first to make it to the top of my old dogwalk. The white ramps are slippery. JC was trying to pull up the pink rubber mat underneath a ramp. If you look in the upper left near the black drain pipe, you can see Ricky.

18 Oct
This morning I was woken up to the sounds of nursing around 4 am rather than the more usual 2 am schedule. Are the mothers working to get the puppies ready to go all night without a feeding?

Morning picture Note the water dish in the corner.

JC next to mommy Gwynie.

Maggie sniffy aunt Ophelia while Otto and Sandy look on; JC and Ricky are in the background.

Sandy letting me know that it is time to take the puppies inside. Note Sandy's frayed collar. Besides biting at ears, the puppies bite at each other's collar ends.

19 Oct
Last night Maggie demonstrated that she can climb out of Gwynie's whelping box. So I have put in a slider that raises the entrance to the box, just as I had to do with Siri's whelping box. Fortunately both Siri and Gwynie being athletic can still jump in and out of the whelping boxes. But more and more at night when I wake up to use the bathroom I am taking the puppies outside to potty.

Siri's puppies are six-weeks old today, and weigh as follows:

Otto joined the 1400-gram club today. (No, that is not green lemonade in the background of Sandy's photo. Rather it is a mixture of Healthy Mouth in a lemonade jug. I use the jug to refill my dogs' water bowl.)

Morning picture 1 - sleeping head to ... butt? (Maggie, Otto, and Sandy). Morning picture 2 - JC and Ricky. Notice the size difference between JC and Ricky. JC is definitely the runt of the two litters.

Sandy getting a drink from the water bowl in the puppy playpen. Note the mirror in the background. The puppies are getting used to the mirror and no longer wondering why the puppy they see does not want to play.

Puppies always want to investigate where the hole in the cinder block goes. But the hole does not go anywhere, the block is there to anchor my fence. My "fence" is really just a large number of x-pens (exersize pens) hooked together. I can pick the fence up when I need to mow.

Today I saw Maggie reach the far corner of my fenced yard.

Otto and Maggie wrestling. Notice Maggie's sharp puppy teeth. The puppies seem to be doing more wrestling today.

Gunfight at the OK corral - I often see this ... two puppies will stare at each other. Then at some point, one puppy will "draw" and charge the other puppy, who immediately also charges. Wrestling then ensues.

20 Oct
Maggie joined the 1100-gram club today, and Sandy joined the 1200-gram club.

Morning picture - Like children everywhere, the puppies will eat some food ... get distracted ... come back to eat some more food ... play some more ... etc.

I was talking on the phone and the conversation went longer than I expected. The puppies got tired of waiting for me to call them in to dinner, so they laid down to wait.

The puppies are learning that when I hold the door open and call out in a high sing-song voice "Puppies, puppies", that they can come inside. Of course, this is only if a puppy wants to come inside! And then there are distractions along the way of coming inside plus coming back outside if I go out to pick up a laggard. But sometimes it works.

My day seems continuously interrupted taking puppies inside and outside. First all the puppies have to go outside to potty before eating. Then inside to eat. Then immediately back outside to potty and play. When I notice the puppies getting tired, all the puppies have to come inside to nap. Then sometime halfway to the next meal, the puppies will wake up and want a drink of water. If I can catch a puppy in time and get them outside to potty, good; otherwise I am cleaning up the pee. And with five puppies, I sometimes (often) can not catch each puppy in time. Then after I bring the the puppies back in, they nap again until the next meal. Now multiply this by four meals. No wonder I have a hard time getting other things done!

The puppies have diarrhea. The diarrhea seems to have started last night. Maggie and JC seem the hardest hit, but the others also have diarrhea to some degree. I am not sure of the cause. Besides puppy kibble and canned puppy food, I only recently fed the puppies some hard-boiled egg the other night for the second time. The puppies tolerated hard-boiled egg the first time with no GI problems. Possibly the canned puppy food, being meat-based, had something that disagreed with the puppies' tummies. I just hope that the cause of the diarrhea is not some nasty virus. Needless to say, I have been doing a lot of clean up today in the (frequent) cases where I did not get a puppy outside in time. I have only been feeding the puppies puppy kibble today, no canned puppy food. The puppies seem less interested in eating, but are still active and acting normally.

Week 8

21 Oct
Gwynie's puppies are seven-weeks old today, and weigh as follows:

Both Maggie and JC lost weight since yesterday, everyone else gained. Ricky joined the 1400-gram club.

The diarhea seems to have subsided. It evidently was some sort of 24-hour thing. Again I only fed the puppies plain puppy kibble today. Again there was less enthusiasm about the cuisine.

Morning picture - all five puppies.

Maggie and JC playing with my shower curtin.

I brought the puppies some sticks and pine cones to chew. Sticks - nature's chew toy!

I have had my wobble board out for a week now and the puppies have been making the board bang by stepping on it. They also try to bite the board to stop it from moving. I have not seen anyone up on the board yet with all four feet. When I hear a puppy playing with the wobble board, I grab my camera. But usually either the picture is blurred or the puppy has moved off to play with something else.

Puppies (a different view):

Sandy trying to figure out the magic incantation to get my doggy door to open. The adult dogs go through it ... why can't Sandy?

Mommy Gwynie up on the wooden tunnel in order to get away from Ricky. Both mommies Gwynie and Siri are only letting the puppies nurse at night.

22 Oct
Maggie joined the 1100-gram club today, and Otto joined the 1.5 kilogram club. JC again lost weight since yesterday; which has me concerned. However JC was very hungry this morning and had a good appetite all day.

Morning picture

JC on top of Otto. Too often Otto (and Sandy and Ricky) - because of their size advantage over JC - dominate any wrestling with JC ... pinning JC, chasing and outrunning JC, etc. Often I see JC just trying to get away from his bigger brother and cousins. So it was nice to see JC on top for a change.

Otto is so stressed.

All five puppies together.

Ricky found a new place to take a nap.

Sandy leaning that pine cones are prickly.

I am often asked why I do not have a dishwasher. The answer is that I have willing slaves who are happy to use their tongues to clean any dish or pan that I put on the floor. The adult dogs gave my wok a good cleaning first, but Sandy and especially Otto made sure that nothing was left. (I give any dish or pan that the dogs clean another wash before putting it away.)

JC seems to be the first to "find his voice" ... because of his size giving a high-pitched bark to tell the chef to hurry up with the food.

I have to be careful now when going in or out my outside door. Frequently a puppy will dart in or out while the door is temporarily open.

23 Oct
I had an important appointment in the early afternoon, which required some morning preparation. Thus the morning was a rush while feeding everyone breakfast, getting the puppies outside for some exercise, taking the adult dogs for a walk while the puppies slept, feeding the puppies an early lunch, then getting the puppies outside to potty before leaving. I left the puppies indoors in their puppy playpen. I was not sure how long I would be gone. As it turned out, I was gone six hours. So everyone got dinner two-hours late. The adult dogs were very vocal about telling me that standards were slipping. The puppies seemed fine although hungry.

As I live in a rural area, I have a recording of city sounds that I leave playing for the puppies whenever I have to leave the puppies in their playpen. The city sounds are interspersed with soothing classical music.

Evening picture 1 - JC and Maggie in Gwynie's whelping box. Evening picture 2 - Sandy, Otto, and Ricky in Siri's whelping box. I have continued to put Ricky in with Siri and her puppies at night.

Gwynie and Siri are no longer providing the majority of the calories for the puppies. So several days ago I switched Gwynie and Siri from puppy kibble back to adult kibble, and cut the amount back to their usual pre-breeding amount. I also cut their daily supplement of approximately 1/4 cup of cottage cheese (for extra calcium for milk production) dowm from two to one.

Instead of nursing the puppies in the early hours of the morning, both Gwynie and Siri have switched to nursing in the evening right after I feed Gwynie and Siri their cottage cheese.

Nursing picture 1 - Gwynie letting JC and Maggie nurse. Nursing picture 2 - Siri letting Ricky, Otto, and Sandy nurse. In the picture Siri has her right rear leg lifted in order to allow the three big boys access to Siri's nipples.

24 Oct
I was up three times last night, changing the bedding in Gwynie's whelping box because of JC's diarrhea. I took a stool sample to my vet this morning who confirmed what I suspected - JC has coccidea again. My guess is that enough of the protozoa must have survived the previous attempt to eliminate them and have now multiplied, and JC's immune system is now having a hard time keeping them under control (hence the diarrhea). So JC is back on sufadimethoxine (an antibiotic) for a longer duration this time. JC has also had three days of losing weight, but had a weight gain the past two days.

Ricky joined the 1.5 kilogram club today, Sandy joined the 1300-gram club, and Otto joined the 1600-gram club.

Morning pictures:

Sandy napping with mommy Siri.

Upon coming home with my adult dogs from their walk, I found two unusual things. When we left for the walk, I had left all the puppies inside napping on various dog beds. However upong coming home, Otto was outside in my fenced yard. Otto must of gone out my doggy door. The second unusual thing is that upon coming inside and checking where the other puppies were, I finally found Ricky up on my bed. Ricky must have climbed the ramp that my adult dogs use to get up on my bed. This means that I must now start taking the ramp down when the puppy are loose. (I do not want the puppies peeing or pooping in my bed!)

When preparing lunch today, Ricky - who was outside - heard the kibble being poured in the puppy pan. Ricky proceeded to push his way through my doggy door in order to get in line for lunch.

Mommy Siri nearby while Ricky is on top of Sandy wrestling.

All the puppies - Ricky at the top, then Sandy, the Otto staring at JC, and Maggie bottom right.

The puppies can run and dart in front of me very quickly now. I have to be careful to do the "puppy shuffle" - sliding my feet along without lifting them - so as not to step on a puppy.

When I am wearing sandles, the puppies have been investigating my toes. This sometimes involves "tasting" my big toe ... which is painful when a puppy bites with their sharp puppy teeth. (Yes, I am talking about you Otto.) I have had to resort to gentle kicks to discourage puppies from amputating one of my toes.

I think Sandy is going to win the award for most calm puppy. When I put Sandy on my weight scale he just stands there. Everyone else wants to get off the scale and explore my grooming table. Maggie is the worst; I have to reposition her on the scale multiple times before I can get her weight.

25 Oct
Maggie joined the 1200-gram club today.

Morning pictures:

Otto now goes in and out my doggy door with little difficulty. The other puppies have not yet figured out my doggy door.

We are having warm weather. This afternoon rather than leave the puppies in their playpen in the warm inside while I went to the store, I left the puppies on my porch in the shade where there was a breeze and it was cooler.

Two against one is fun ... if you are one of the two.

Sandy drinking at the communal water dish. (The water is green because of an additive called Healthy Mouth, which is recommended by veterinary dental specialists.)

JC's diarrhea seems to have stopped (thank goodness). The sufadimethoxine he is getting is probably the reason. We have an appointment with my local vet on Friday.

26 Oct
Siri's puppies are seven-weeks old today, and weigh as follows:

(Note that the puppies get bored waiting for me to take a picture.) Otto joined the 1700-gram club today, Sandy joined the 1400-gram club, Ricky joined the 1600-gram club, and JC ... JC joined the 900-gram club!

I almost had a morning picture with all five puppies together on one of dog pillows. First everyone was on except JC. Then JC jumped on but Ricky left. (You can just see Ricky's foot in the lower left.)

How many puppies are in this picture? I went through my house twice looking for a missing puppy, before I notice that there were three puppies here next to my dresser. (Notice the teeth marks from previous puppies.)

Today the puppies met Mr. Dremel, which I use to grind my dog's nails down. If you let a dog's nails grow, they will eventually break off which can be painful. Because Norwich have black nails (really claws), it can be difficult to know where the blood vessel and nerve inside the nail is. If you clip the nails too short, it can be easy to cut into the blood vessel causing bleeding and pain. I prefer to use a dremel and grind the nail down. Usually a dog will complain before you can grind down to the blood vessel.

Sandy squeezed himself in a tight spot in order to take a nap. Evidently Sandy felt safer that way.

Otto was being a little too rough with JC, so mommy Gwynie came over to break up the wrestling.

JC napping in one of the adult dog's crates. While over on the donut, Maggie was chasing Otto away.

Later with everyone playing outside, I found that Sandy had just plopped down where he was for a nap.

JC is the first to get on my wobble board with all four feet and stay on for several seconds.

27 Oct
Morning picture - The puppies asking mommy Siri why it takes the chef so long to prepare breakfast.

Four puppies on the donut bed. Only Maggie is missing. Sandy is on the far left, then going clockwise it is Ricky, JC, and Otto.

Today's big adventure for the puppies was a trip to my local vet for first puppy shots. Here are the puppies in the waiting room. The puppies will get a succession of three DHPP combination vaccine shots usually three weeks apart. For the first 12 to 24 hours after a puppy is born, a puppy's intestines still allow large molecules to pass from the puppy's digestive system into a puppy's blood stream. When a puppy nurses during that first day of life, their mother's milk contained some of their mother's antibodies. Antibodies are large molecules. Because the intestines allow passage, these antibodies pass into a puppy's blood stream, where they protect a puppy. However over time, these maternal antibodies break down and thus no longer protect a puppy. To prime a puppy's immune system to protect a puppy from distemper, hepatitis, parvo and parafluenza (DHPP), puppies get these vaccine shots. (Distemper and parvo are often deadly.) The problem is when to give these shots. If too early, the maternal antibodies block the effect of the shot and the puppy is unprotected when the maternal antibodies decay. If too late, again the puppy is unprotected. Many vets use a formula that seems to work for most dogs like "give puppy shots at 6, 9, and 12 weeks of age". However rather than just guessing when the maternal antibodies are no longer effective, there is a more scientific way. Before the puppies were born, I had blood drawn from both mommy Gwynie and mommy Siri. The blood was spun down, and I mailed the serum from each dog to the University of Wisconsin. Researchers analyzed the amount of distemper and parvo antibodies in the serum, and sent me back a report suggesting when the puppies of each litter should get their puppy shots. Gwynie had a bit more antibodies for distemper and parvo than Siri, so it worked out that both litters should get their first puppy shots about now.

However before the puppies could get their shots, they had their weight and temperature taken. The puppies were good and did not complain about the indignity of having their temperature taken rectally. Then the vet came in, examined each puppy, and gave them their puppy shot.

Because of his being the runt of the two litters, I especially discussed JC with my vet.

Afterwards - in what has become a tradition whenever I bring puppies to my local vet - the front office staff wanted to hold the puppies. So we played a fast game of "pass the puppy":

I watched the puppies carefully for the rest of the day, but I did not notice any of the puppies having a reaction to their shots. (I, on the other hand, had gotten my annual flu shot the previous day and felt achy all day.)

Week 9

28 Oct
As part of my efforts to house-train (potty-train) the puppies, I have been getting up several times during the night and taking the puppies outside to potty. I put the puppies in a pen so that they are not wandering all over my yard, while I go get the next group of puppies. It usually takes me three trips to get everyone outside, and then three trips to get everyone back inside to their whelping box. Each time I take puppies out to potty - during the day and during the night - I tell the puppies to "Do your business", followed by "Good boy" or "Good girl" if I see them potty. "Do your business" is the first command I teach puppies, with the hope that the command will become a Pavlovian reaction.

The puppies have gotten good about not pooping in their whelping boxes at night, and this morning was the first day in which I did not find any urine stains in their whelping boxes. However after taking the puppies outside this morning, the puppies came back inside and three of them peed and pooped in my kitchen. Ah well, baby steps!

Gwynie's puppies are eight-weeks old today, and weigh as follows:

Maggie joined the 1300-gram club today.

The big adventure for the puppies today was a trip to be independently evaluated by a fellow breeder. Liz is a long-time Cavalier-breeder whom I have known for many years and whose opinion I respect. The puppies would have a long car ride - two hours - to Liz's house. So I had to time this carefully, as two hours is about the maximum that I could expect the puppies to be crated without having an accident. (The rule of thumb is that a puppy can comfortably "hold it" for an hour of crate time for every month of life, with perhaps an extra "grace" hour at night.) So after breakfast and letting the puppies play and potty, while the puppies were down for their first morning nap, I took the adult dogs for a walk. When we got back, the puppies were just waking up. After letting the puppies potty, I put the puppies in their crates and we drove to Liz's house, arriving around noon. The puppies were good travellers. No one had an accident and no one got car sick.

Liz had a pen set up in the shade, so when we arrived I let the puppies out, introduced the puppies to Liz, and then the exam started. First was "meet a friendly stranger". Liz's brother was kind enough to be the "friendly stranger". One at a time I released a puppy from approximately three feet away from where the "friendly stranger" was crouching. All the puppies immediately ran up to the stranger, none showed any shyness or fear. Another test involved Liz rolling a small ball in front of a puppy to see if the puppy would chase the ball. All the puppies wanted the ball. Here is JC with the ball. Another test involved an unfamiliar surface. Liz spread out a plastic trash bag and we watched the puppies walk on the bag. (That is Maggie on the left trying to drag the bag.) Another test involved Liz feeding a puppy a treat, moving her hand a foot away then feeding another treat when the puppy came to her hand, and repeating this several times with the puppy (to test trainability). There was the test where Liz dropped an object to make a loud noise. All of the puppies turned and looked where the noise came from, none showed any fear ... Maggie even started towards the noise.

While the puppies had lunch, Liz and I discussed the puppies. Liz said that all the puppies had good temperaments, none showed any fear, all were friendly. Her feelings about each puppy was primarily based upon the speed that each puppy performed the various tests. As we both agreed, there is very little scientific research showing the predictive value of these tests; rather these tests are part of breeder "folklore". We also agreed that Maggie did very well on the tests, but that may be because girls mature earlier than boys. We also discussed JC, about whom I have concerns. I next described the homes that I have available for the puppies, and Liz gave me her opinion as to which puppy would do best in each home. (Liz's opinion agreed with my own thoughts.) Ricky started dragging the water bowl while Liz and I talked. We then packed up and did the long drive home, arriving in time for the 4 pm feeding of the puppies.

I am beginning to see the mothers "train" the puppies in social manners - at least, that is my guess as to what is happening. A mother will flip a puppy on its back, and then play-attack the puppy. The puppy will start screaming, which only makes the mother attack more. I something think of this as "toughing up the puppy". Of course with two mothers, sometimes the mothers start wrestling to show the puppies "how it is done".

29 Oct
At eight weeks of age, I usually stop weighing puppies daily, and just do so weekly. Siri's puppies are not quite eight weeks (but close enough) and they are big enough. Going forward I will only weigh JC daily, as I want to keep an eye on him. Thus the weight race - which was not very exciting this time - was won by Otto, followed by Ricky, then Sandy, Maggie, and bringing up the rear, JC.

Morning picture - The puppies are finished with breakfast. For breakfast I have been putting in the small bowls whole-milk plain yogurt, which is often eaten first.

After all the travel and excitement of the past two days, I gave the puppies an "off-day". Besides the weather was beautiful and I wanted the puppies to enjoy the outdoors before the cold weather that is forecast for later this week. I noticed today that Maggie and Ricky have joined Otto in going in and out my doggy door whenever they want.

30 Oct
Aunt Izzy had her airway scoped today in Raleigh. Because I had to leave very early in the morning to get Izzy to her appointment, and because I did not know how long they would keep Izzy, I took all the puppies with me. After dropping Izzy off, the puppies and I went to visit a friend while we waited.

Morning picture - at my friend's appartment. Finally breakfast.

The puppies got to meet a neighbor's dog. Another picture. Notice JC biting the bar of the x-pen.

The puppies napped and had lunch. After we pickup Izzy, we made the long car ride home.

When we got home the puppies seemed happy to be able to run around in the yard:

Sandy likes to nap right next to the gate. Which means that when someone - like aunt Gwynie - wants to come in, I have to wake Sandy up.

Everyone but JC now is using my doggy door. JC just does not have the mass yet. The puppies push the doggy door open by jumping up and pushing the door open with their front feet and body weight. Their body then falls and they are halfway in and halfway out the door. Then they pull themselves through the door. Sometimes biting the door is involved if the door is not cooperating.

31 Oct
Lunch time. The puppies do not realize it but this will be their last communal meal. At around eight weeks of age, I move puppies into crates to eat and sleep. So urban renewal came to puppyland today.

First I picked up Siri's whelping box and stored it away until the next time it is needed. Then I assembled five new crates and set up the puppy condo. Here is the puppy condo, just needing towels for "flooring" in each "apartment". (One nice thing about the puppy condo is I get back some space in my bedroom.) I also disassembled the puppy playpen in my living room, replacing it with dog beds. Since the puppies will be eating in their crates, there is little need for the playpen ... and it can always return if needed.

It was a rainy day today, so I could not get any outdoor shots of the puppies.

Ricky says "Where am I supposed to sleep?"

Otto spooning with JC. Usually I see Otto jumping on JC and holding JC down. Or Otto dragging JC by JC's tail, since Otto masses significantly more than JC. JC is getting better about standing up for himself. But often JC attracts additional unwanted attention by the high squeal JC lets out when getting jumped on.

The puppies had dinner in their crates for the first time today, which went well. The puppies also had their before-bedtime meal in their crates. Now that the puppies are eight-weeks old, this fourth meal will be phased out ... except for JC.

1 Nov
The puppies took to sleeping in crates in stride. Otto complained a little bit, but settle down. Now that the puppies are sleeping in crates, I now absolutely must take them outside several times at night to potty. At this age, they can only be expected to "hold it" for two or maybe three hours.

Morning picture - breakfast. One good thing about the puppies eating separately is that I now can monitor how much each puppy is eating.

JC in the empty toy crate. The puppies are not good about picking up their toys, expecting their butler to do all the house work.

JC with a toy

I was informed by the prospective new owners of Sandy that they plan to call him "Jimmy". So from now on, I will refer to "Sandy" as "Jimmy".

With the weather now having turned cool, rather than shorts I am now wearing long pants. The puppies, having mostly given up on trying to amputate my toes, have now turned their attention to hanging onto my pant's legs. This makes it difficult to walk when one has two or three puppies hanging on.

Being the first of the month and the puppies being old enough, all the puppies got a "puppy dose" of selamectin. Selamectin (brand name "Revoluton") is a heartworm plus flea and tick preventative. Now it is cold enough that I do not think the puppies will come into contact with any mosquitos - which spread heartworm. Nor do I think the puppies will meet any fleas or ticks. But selamectin also kills cheyletiella mites. These mites can cause a dog to scratch excessively ... and these mites are zoonatic, meaning they will also cause people to itch. (I have had the mites on me and the itch is terrible!) Normally an adult dog's immune system keeps the mites under control. But when the immune system is weakened - for example during pregnancy - these mites can get out of control. So I have used selamectin on mommy Gwynie and mommy Siri during their pregnancies, and now on the puppies who have immature immune systems.

2 Nov
Siri's litter is eight-weeks old today, and weigh as follows:

I had some workmen putting some heating tape on an outside pipe in my yard, so that the pipe does not freeze (like it did last winter). While the workmen went to get a part, I let the dogs out in the yard. The puppies investigated the hole that the workmen had dug. First JC fell into the hole, and I rescued him. Then Maggie fell into the hole and I rescued her. Otto then fell into the hole, but Otto was able to climb out on his own. Ricky and Jimmy were too busy wrestling to worry about hole.

When the workmen returned to finish, I put the puppies in an x-pen.

3 Nov
Morning picture 1 and Morning picture 2.

Ricky, Otto, and Jimmy on a dog bed.

Jimmy sleeping in the empty toy crate.

Up until now I have been letting the puppies eat as much as they want during a meal. But an upper limit is 60 mL (1/4 cup) of puppy kibble during a meal. Today Otto - no surprise - was the first to eat all his kibble and clean his bowl.

Week 10

4 Nov
Gwynie's puppies are nine-weeks old today, and weigh as follows:

I got my RSV vaccine shot yesterday, so for me today was a day of headache, aches, and immense fatigue. The puppies refused to take that as an excuse.

5 Nov
Morning picture - The usual morning scrum.

This morning, right before I was about to take a shower, the adult dogs raised a ruckus, barking furiously. I suspect they caught the sent of a rabbit or squirrel in a nearby field. While letting the adult dogs out of my fenced yard, one of the puppies (either Ricky or Jimmy, I have forgotten) slipped out with the crowd. Often a puppy will just go a few feet before being distracted by something, and then I can rescue the puppy. Not this time! The puppy tore off after the adult dogs. So there I am, in flip-flops and my birthday suit, chasing the puppy down my gravel driveway. Fortunately I live in a rural area, with no neighbors in sight. And yes, the puppy was rescued.

The puppies are unhappy that they are being left behind while I take the adult dogs for a walk.

Lunch time. We have assigned crating in my house. JC is top left, Maggie top right. Otto is bottom left, Ricky in the middle, and Jimmy bottom right.

Ricky barking and biting at the tunnel in which Ricky could hear another puppy running back and forth.

Mommy Siri and puppies. Siri badly needs stripped (groomed).

In their continuing efforts to drive me to exhaustion, one of the puppies - in this case Otto - usually stays awake, forcing me to keep track of him or her.

6 Nov
Morning picture 1 - JC and Ricky. Morning picture 2 - Maggie, Otto, and Jimmy at the bottom of the pile.

Otto between the two blonds.

Jimmy admiring himself in the mirror.

I just bought this new baby dogwalk ... and already the puppies are tearing it up!

7 Nov
This morning I had the puppies out to potty just as there was a thin red line of sunlight on the horizon. Being tired - but knowing that it would not be long until sunrise - after bringing the puppies back inside, I left the puppies loose (and hopefully empty of any pee or poop) while I went back to bed for a few more minutes of shut eye. The next thing I knew, I had a puppy nibbling on my ear, another crawling over me, and a third climbing the dog ramp to my bed. Thus it was time to get up and prepare breakfast.

After breakfast, the puppies went outside to play. Four puppies - from left to right, Ricky, Otto, Jimmy, and Maggie - continued to disassemble my old baby dog walk. JC followed mommy Gwynie on a ramble.

Morning naps:

Puppies playing:

The prospective owners of Ricky have informed me that they plan to call him "Porchie" after Lord Porchester, Queen Elizabeth II's friend and racing manager. So from now on I will refer to "Ricky" as "Porchie".

8 Nov
Morning picture - Mommy Siri was teaching one of the puppy manners; mommy Gwynie is watching.

Visitors! Irene and Jim brought cousin HP ("Shaksper Harry Percy") to visit the puppies. Technically HP is a first cousin to Siri's litter, and a second cousin to Gwynie's litter. Here is Otto chasing cousin HP who is wearing a harness. (Otto's grandmother Mandy is in the foreground.) The puppies got lots of hugs (picture 1, picture 2), and practice untying shoelaces (Otto, Porchie, and Jimmy with a shoelace in his mouth). Having visitors was so exhausting that the puppies fell asleep (picture 1, picture 2) so Irene, Jim, and HP left.

Puppies playing (JC is chewing a stick.)

JC seems to have finally figured out how to use my doggy door ... although he prefers me to hold the door for him.

9 Nov
During the night, I am taking the puppies outside to potty every two to three hours. Yet in spite of that, three of the puppies pooped in their crates last night. I fear a return of coccidia. Several breeders have recommended to me Toltrazuril, a horse medication that directly kills coccidia. It is an over-the-counter medication and seems to be very safe for dogs. I dosed everyone today - puppies and adult dogs - and I will give lighter doses the next two days.

Siri's puppies turned nine-weeks old today, and weigh as follows:

Mommy Gwynie cleaning JC's face by holding JC down and repeatedly licking his face.

Today was forecast to be one of the last warm days for a while. I took advantage of the weather and moved crates, toys, and dog beds out onto my porch. I then gave the floors a good cleaning, mopped them down with a solution of bleach, and let the floors dry before allowing the dogs back inside. While I have been spot cleaning when I find a potty accident, sometimes you just have to clean the entire floor.

For a while now, when I take the puppies out to potty at night, I just plop them down in my yard, tell them to "do their business", watch to make sure they pee, then go inside to get the next two puppies, and repeat. (The puppies are now big enough that carrying two at a time is the most I can manage.) Often the puppies when they are done will come back inside ... otherwise I have to go find them. The puppies are sleepy and usually head for a dog bed. I then carry each pupy back to their crate until the next night-time potty trip.

10 Nov
Morning pictures:

Jimmy squatting to pee. Boy puppies squat to pee, and do not start lifting their leg until puberty.

Gwynie (left) and Mandy (right) with the puppies. Mandy is a great-aunt to Gwynie's puppies, and grandmother to Siri's puppies.

While I was working on the computer today, Porchie woke up from a nap. Before I could do anything, Porchie went out my doggy door and went into the yard to pee. I was so proud of him! While the puppies are by no means house trained, it is nice to see that my efforts to potty train them are having an effect.

I have been putting various things as a topping on the puppies's kibble. Tonight the puppies were introduced to sardines. Each puppy got a piece of a sardine no bigger than the tip of my pinky finger. When introducing a new food, one should start out small so as not to upset the GI tract.

Week 11

11 Nov
Gwynie's puppies are ten-weeks old, and weigh as follows:

Porchie napping next to a very pregnant aunt Ophelia.

Gwynie's litter - JC, Maggie (on her back), and Porchie

Mass escape! I was working in another room and heard the adult dogs barking. I was not too concerned as the adults often bark when they hear hunting dogs in the distance. (It is deer hunting season in the rural country were I live, and the hunters here are allowed to use dogs to chase deer.) The puppies were asleep in the living room ... or so I believed. When I finished and came back into my living room, no puppies. And there were no puppies in my yard. And then I noticed the open gate. The adults evidently had pushed the gate open, and the puppies had followed the adults outside my yard. Two of the puppies were near the gate, two further away, but one I could not see. As I gathered up puppies that I could reach, I started calling "Puppies, puppies" in as high a voice as I could. The missing puppy fortunately came running toward me, coming out of some winter grass where he blended in. From now on, that gate stays locked unless I am standing next to it.

Mommy Siri playing with Jimmy.

12 Nov
Morning picture - All five puppies (can you find them all?) and mommies Gwynie and Siri.

The puppies are such angels ... when they are asleep:

Visitors! Karissa brought great-aunt Winnie ("Shaksper Tamora Queen Of The Goths") to see the puppies. Here is Karissa greeting the puppies. Later we got a more formal photo of Karissa holding all five puppies with Winnie on the ground. And another of Karissa holding Winnie and Otto.

With Karissa's help, the puppies had their first "approved" walk outside of my fenced yard - a circumnavigation of the outside of my house. Only a few times did Karissa have to rescue a puppy who was going in the wrong direction.

Porchie and Otto sharing a toy.

13 Nov
Morning picture - Is this the doggy version of the game "king of the hill"? I have seen the puppies play "tag" - running through my baby tunnel, then going around the tunnel to run through it again. And the puppies often play the game of "gunfight at the OK corral" before beginning to wrestle. Although jumping on another puppy to initiate wrestling is also common.

The big event of the day was taking JC to my local vet for a planned appointment. I have been concerned about JC for some time ... his slow development and the lack of coordination in his legs. JC's movement seems to have gotten better with time; he walks and runs almost as fast as his siblings. Other people who have seen JC - including my local vet - have also remarked that there is something not quite right with his movement. A neuromuscular problem is suspected. I have made the decision to keep JC until I can have JC evaluated by a veterinary neurologist at NC State. Once I have a diagnosis and prognosis, I can make better arrangements for JC. But this may take several months.

Today was the first step ... a bile-acid test. A bile-acid test evaluates the liver. A liver shunt - specifically a portosystemic shunt - can cause slow development. Norwich terriers are the second most common breed (after Yorkies) for liver shunts. I always bile-acid test both parents before a breeding - and eventually all the offspring - but the genetics of liver shunts is unknown. A bile-acid test involves fasting overnight, taking some blood, feeding the dog and then two hours later taking some more blood. The serum from the blood is then sent off to a lab to test for the amount of bile acid in both samples, which gives information about the condition of the liver.

As you might imagine JC was not happy about not getting any breakfast this morning! But JC survived and when I got him home, JC ate a hearty lunch.

Since I knew I would be away from the house for several hours this morning, I had to decide what to do with the other puppies. In the past when I have had to go out, I have set up a playpen in my living room. Today I decided to leave the puppies loose with the freedom to use my doggy door to go out into my yard. I figured that I could clean up any potty mess inside ... plus I wanted to see how well the puppies were doing in their potty training. When JC and I got home at lunch time, I did not find any potty accidents. (Of course, the puppies may have found some place I have not looked.) But I will take this as progress!

Two comments about Jimmy. First Jimmy has gotten sneaky about joining the adult dogs when I let them out the gate of my yard. Twice today I had to go chasing after Jimmy. The second time Jimmy almost made it to the tree line of the neighboring forest. Second, Jimmy often does not eat the toppings that the chef adds to his kibble. Jimmy turns his nose up at a small helping of tripe ... which all my other dogs love. And tonight Jimmy did not eat the half of a hard boiled egg that was offered. Jimmy eats the kibble, just not the topping. Jimmy, like some toddlers, must be a "purist"! Jimmy will outgrow this phase.

14 Nov
Morning picture

The big adventure for today - at least for Otto and Jimmy - was accompanying me to my local auto mechanic's shop, while I got some new tires for my car. This is a family-run business, and children and dogs are welcome in the waiting area. Plus I have specifically been told to bring puppies. Here are pictures of the visit:

The puppies greeting us as the adult dogs and I return from our daily walk.

15 Nov
Morning picture - After breakfast there is a lot of activity, but eventually everyone settles down for a nap. Another napping picture.

A long-time friend, Carlynn, has come to visit for a few days with her Norwich Journey ("Itsy Bitsy Fellow Traveler"). Journey is a first cousin once removed from Gwynie's litter, and a third cousin thrice removed from Siri's litter.

16 Nov
Siri's litter is ten weeks old today and weighs as follows:

Morning picture

My friend Carlynn's dog, Journey, being chased by all the puppies. Note Otto's tail.

Some pictures by Carlynn:

17 Nov
Napping puppies:

Carlynn "fishing" for puppies using a pole with plush toys attached to the line. If you look closely you can see JC biting one of the toys.

Pictures by Carlynn:

Week 12

18 Nov
Gwynie's puppies are eleven weeks old today and weigh as follows:

Otto and Jimmy's big adventure today was a trip to the vet. Jimmy was examined by my vet and got his second puppy shot, microchip, and certificate of veterinary inspection - informally called a "certificate of health" - necessary for interstate travel. Otto also got his temperature taken and his second puppy shot. After which Otto and Jimmy got passed around among the receptionists:

and also met some young girls in the waiting room.

Neither Otto nor Jimmy seemed to be affected by their second puppy shot. Both continued to play, eat, and nap normally.

JC likes to take toys outside.

19 Nov
Morning picture - Jimmy, Porchie, Maggie, and Otto. JC was getting a drink and missed the group photo.

The puppies saying good-by to Jimmy who is in the crate. I like to keep puppies until they are twelve weeks old. But sometimes there are good reasons to let a puppy go earlier to their new home. In this case Jimmy's new owner, Sarah, has the upcoming week off of work, and thus can spend time bonding with Jimmy. Sarah flew from Atlanta to the Raleigh airport to pick up Jimmy, returning to Atlanta later in the afternoon.

So now there are only four at my house ...

20 Nov
Morning picture 1 - Maggie, Porchie, and JC. Morning picture 2 - Otto.

The puppies got to see a tractor and a small bulldozer today. I had some work being done on my property to improve the trails.

21 Nov
Morning picture

The puppies have figured out how to spill the water out of my no-spill bowl. First you grab the towel underneath the water bowl. Then you tug ... which makes the water slosh in the bowl. Then you tug harder and the water sloshes even more, until eventually you get all the water out of the bowl and onto the floor. And when I bring over a towel to mop up all the spilled water, you stand on the towel. Great fun ... for the puppies!

Mommy Gwynie teaching JC some doggy manners. I saw Mommy Siri do the same to Otto today.

Sarah sent me a picture of Jimmy and reports that Jimmy is settling in nicely in his new home.

22 Nov
Morning picture - from left to right: JC, Maggie, Otto, and Porchie.

While aunt Ophelia was outside going potty, Maggie jumped into the whelping box to investigate aunt Ophelia's puppies. I quickly got Maggie out before Ophelia came back.

The big adventure for Porchie today was a trip to the vet. Porchie was examined by my vet, got his second puppy shot, his internasal bordetella vaccine, his microchip, and his certificate of veterinary inspection. And afterwards, hugs from the receptionists - picture 1 and picture 2.

When Porchie and I arrived home, we found that Maggie was outside my fenced yard. Evidently Maggie had found a wee crack in my fence and squeezed her way out. Fortunately Maggie had not gone far. I blocked the suspect crack.

Porchie showed no ill effects later from his trip to the vet.

23 Nov
Siri's litter is eleven weeks old today. Since Jimmy is off in his new home, only Otto is here. Today Otto weighs 2710 grams.

Morning picture - Otto, JC, and Porchie are on the dog bed; Maggie did not want to stay for the picture.

The puppies grumbled about not getting turkey on Thanksgiving. But the chef was not feeling well, so the puppies only got a taste of tuna fish on top of their kibble. The puppies did not buy the argument that because tuna begins with a "t" that it was an acceptable subsitute for turkey.

24 Nov

Week 13

25 Nov
Gwynie's puppies are twelve weeks old today and weigh as follows:

Maggie modeling what all the fashionable female Norwich are wearing on their heads these days. (Actually Maggie got her head stuck in this plush toy. I had to help Maggie get unstuck.)

Morning pictures:

Mommy Gwynie playing with Porchie. They are wrestling over possession of a rawhide chew.

26 Nov
Today Gwynie and I delivered Porchie to his new family. I am always sad for a few days after a puppy leaves.

27 Nov
And then there were just three left - Maggie, Otto, and JC.

The big event of the day was Maggie and JC going to the vet to get their second puppy shots. And afterwards hugs from the receptionists:

28 Nov
Morning pictures:

29 Nov
Morning pictures:

Even though I tried, I could not get everyone to look at me at the same time.

30 Nov
Siri's litter is twelve weeks old today. Otto weighs 2975 grams. Otto is going to be a big boy!

1 Dec
Morning pictures:

I have seen mommy Gwynie and mommy Siri individually go after a puppy to "teach it manners" (toughen it up?). Today I saw both Gwynie and Siri go after the same puppy (Maggie). Maggie is a "drama queen" who squeals like she is being killed if an adult dog chastises her.

Week 14

2 Dec
Gwynie's litter is thirteen weeks old today and weighs as follows:

All together

The big event of the day was Otto's trip to the vet to get his certificate of veterinary inspection (informally called a "certificate of health") prior to travelling:

3 Dec
Morning picture - JC (in foreground), Otto, and Maggie

Mommy Siri spent time this morning teaching her puppy Otto. Mommy Gwynie did the same with her puppy Magie.

Then it was time for goodbyes. Forewing and Josh came and picked up Otto. JC and Maggie watched their (second) cousin drive away.

And then there were only two.

This is a good time to end this diary. Maggie will be staying with me for breeding and agility. JC - for now - will also be staying. Everyone who has seen JC notices his strange gait. JC walks and runs, but the movement of his legs is unusual. Additionally, JC seems to have difficulty controlling his bladder and bowels. All this points to a possible spinal problem. I have made an appointment for JC with the NC State University veterinary neurology department. Unfortunately the appointment is not until March. Once I have a better understanding of JC's prognosis, I likely will be looking for a "special needs" home for JC.